| Ростовский Государственный Медицинский Университет
Плеврит и плевральный выпот
Выполнила: Коваленко В.А.
3 курс 7 группа ПФ
Ростов-на-Дону
2008
Содержание.
| 1
|
Плеврит, классификация
|
3
|
| 2
|
Этиология и патогенез плеврального выпота
|
4-12
|
| 3
|
Клиническая картина плевритов
|
12-21
|
| 4
|
Лабораторная и инструментальная диагностика
|
21-36
|
| 5
|
Общие принципы лечения
|
36-38
|
| 6
|
Особенности клинической картины плевральных выпотов различного генеза
|
39-61
|
| 7
|
Список используемой литературы
|
62
|
Плеврит
— это воспаление плевры, часто с образованием фибринозного налета на ее поверхности и выпота в плевральной полости. Таким образом, плеврит можно рассматривать как частный случай плеврального выпота, обусловленного
воспалением листков плевры.
Плевральный выпот
— это скопление избыточного количества жидкости в плевральной полости, обусловленное воспалением листков плевры, нарушением крово- или лимфообращения, повышением проницаемости капилляров невоспалительпого генеза, опухолями плевры или другими причинами. Плевральный выпот всегда вторичен и является синдромом или осложнением многих заболеваний внутренних органов, хотя в некоторых случаях и на определенных стадиях развития болезни симптоматика плеврального выпота преобладает в клинической картине, иногда маскируя основное заболевание.
Плевральный выпот — один из наиболее распространенных патологических синдромов и встречается примерно у 5-10% больных терапевтического профиля. Около 40% пневмоний протекают с более или менее выраженным плевритом. При этом, в зависимости от этиологии пневмонии, частота его возникновения варьирует от 10 % до 70 — 95%.Частота встречаемости мезотелиомы — первичной опухоли плевры — составляет 2:1000 человек, наиболее часто заболевают мужчины 20—40 лет, имевшие контакт с асбестом. Метастатический плеврит является частым осложнением при раке легкого, молочной железы, яичников, а также при лимфомах и лейкозах. Так, при раке легкого он встречается у 24—50%, молочной железы — до 48%, при лимфомах — до 26%, а раке яичников — до 10% пациентов. При других злокачественных новообразованиях (рак желудка, толстой кишки, поджелудочной железы, саркомы, меланомы и др.) плеврит выявляется в 1—6% случаев. Системная красная волчанка протекает с поражением плевры у ≤ 50% больных.
Классификация
Общепринятой классификации плевритов не существует.
По этиологии выделяют:
- инфекционные плевриты;
- неинфекционные (асептические) плевриты.
По характеру экссудата плевриты делятся на:
- фибринозные (сухие);
- серозно-фибринозные;
- серозные;
- гнойные (эмпиема плевры);
- гнилостные;
- геморрагические;
- эозинофильные;
- холестериновые;
- хилезные.
По течению выделяют:
- острый плеврит;
- подострый плеврит;
- хронический плеврит.
По распространенности плеврит может быть:
С клинической точки зрения, в зависимости от вида плеврального выпота, целесообразно выделять сухой, экссудативный
и гнойный плеврит.
Этиология и патогенез плеврального выпота
Плевральную полость образуют, как известно, два листка плевры, плотно сращенные с подлежащими тканями: висцеральный листок — с тканью легкого, и париетальный — с внутренней поверхностью грудной стенки (рис. 1). В полости плевры содержится небольшое количество серозной жидкости, которая смачивает поверхность соприкасающихся листков плевры, устраняя тем самым их излишнее трение друг о друга во время дыхания.
Рис. 1.
Париетальный и висцеральный листки плевры
 |
В норме количество жидкости, секретируемой в плевральную полость и реабсорбируемой из нее, находится в состоянии устойчивого динамического равновесия (R.H. Ingram). Секреция плевральной жидкость осуществляется париетальной плеврой, которая кровоснабжается сосудами большого круга кровообращения, а реабсорбция — преимущественно висцеральной плеврой, кровоснабжающейся из системы бронхиальных артерий, относящихся к большому кругу кровообращения, и ветвей легочной артерии (малый круг кровообращения) (рис. 2). Уровень гидростатического давления в капиллярах париетального листка плевры существенно выше (30 см вод. ст.), чем в капиллярах висцерального листка (11 см вод. ст.). Согласно закону транскапиллярного обмена Старлинга, это обеспечивает постоянное движение жидкости из сосудов париетальной плевры в плевральную полость и затем в висцеральную плевру. Скорость такого движения достаточно высока: париетальная плевра секретирует до 100 мл серозной жидкости в час. Такое же количество жидкости реабсорбируется висцеральной плеврой.
Рис. 2
. Секреция и реабсорбция плевральной жидкости в норме
Следует также иметь в виду, что часть макромолекул воды, мелкодисперсных белков, солей, липидов и т.п. удаляется из плевральной полости по лимфатическим сосудам, которые особенно обильно представлены в париетальной плевре. Правда, скорость реабсорбции плевральной жидкости по лимфатическим сосудам примерно в 4-5 раз ниже (около 20 мл/ч), чем скорость транскапиллярного обмена.
В самом общем виде, причиной чрезмерного скопления жидкости в плевральной полости (плеврального выпота)
является нарушение соотношения скоростей секреции и всасывания плевральной жидкости, которое, в свою очередь, определяется уровнем гидростатического и онкотического давления в капиллярах обоих листков плевры, а также нарушением проницаемости сосудов и самой плевры.
В таблице 1. представлены важнейшие клинические варианты, основные патогенетические механизмы и некоторые причины плевральных выпотов, а на рисунках 6.3-6.8 схематически изображены патогенетические механизмы их возникновения.
Таблица 1.
Клинические варианты, патогенетические механизмы и причины плевральных выпотов (по Н.С. Тюхтину, 2000 в модификации)
| Клинические варианты
|
Основные патогенетические механизмы
|
Причины
|
| 1.Воспалительные плевральные выпоты (плевриты)
|
Гнойно-воспалительный процесс в плевре, прилежащих и отдаленных органах и тканях
|
Инфекционные:
- бактериальные;
- вирусные;
- риккетсиозные;
- микоплазменные;
- грибковые и др.
Паразитарные:
- амебиаз;
- филяриатоз;
- парагонимоз;
- эхинококкоз и др.
|
| Аллергический воспалительный процесс в плевре
|
Лекарственная аллергия
|
| Экзогенный аллергический альвеолит и др.
|
| Аутоиммунный воспалительный процесс в плевре
|
Постинфарктный синдром Дресслера
|
| Диффузные заболевания соединительной ткани:
- ревматизм;
- ревматоидный артрит (РА);
- системная красная волчанка (СКВ);
- склеродермия;
- дерматомиозит;
- узелковый периартериит и др.
|
| Воспалительная реакция листков плевры на травматическое повреждение, механические, химические и другие воздействия на плевру
|
Закрытая травма грудной клетки
|
| Термические ожоги
|
| Химическое воздействие
|
| Электротравма
|
| Последствия лучевой терапии и др.
|
| Ферментогенные (панкреатогенные) плеврит
|
| Уремичекий плеврит
|
| Асбестоз
|
| II. Застойные плевральные выпоты
|
Нарушение крово- и лимфообращения
|
Сердечная недостаточность различного генеза (преимущественно — правожелудочковая или бивентрикулярная)
|
| Тромбоэмболия ветвей легочной артерии
|
| III.Диспротеинемические плевральные выпоты
|
Снижение коллоидно-осмотического давления плазмы крови
|
Нефротический синдром
|
| Цирроз печени
|
| Синдром мальабсорбции
|
| Белковое голодание и др.
|
| IV. Опухолевые плевральные выпоты
|
Воспаление листков плевры, пораженных опухолью или метастазами
Нарушение дренажа лимфы
|
Первичные опухоли плевры:
- мезотелиома;
- саркома и др.
|
| Метастатические опухоли
|
| Гемобластозы
|
| V. Плевральные выпоты при нарушениях целостности листков плевры
|
Раздражение листков плевры
|
Спонтанный пневмоторакс
|
| Спонтанный хилоторакс
|
| Спонтанный гемоторакс
|
| VI. Другие плевральные выпоты
|
Повышение проницаемости капилляров невоспалительного генеза
|
Гипотиреоз
|
| Тромбоэмболия мелких ветвей легочной артерии и др.
|
| Гипоплазия лимфатических сосудов (нарушение резорбции плевральной жидкости
|
Синдром «желтых ногтей»
|
| Снижение давления в плевральной полости
|
Ателектаз легкого
|
Воспалительные плевриты
. Наиболее распространенными из перечисленных в таблице клинических вариантов плевральных выпотов являются воспалительные плевриты различного генеза, которые условно разделяют на четыре группы:
- Гнойно-воспалительные плевриты,
развивающиеся при бактериальной, вирусной, микоплазменной, риккетсиозной и грибковой инфекции, а также при паразитарных заболеваниях.
- Аллергические плевриты,
развивающиеся при экзогенном аллергическом альвеолите, лекарственной аллергии и других аллергических заболеваниях.
- Аутоиммунные плевриты,
развивающиеся при постинфарктном синдроме Дресслера, ревматизме, ревматоидном артрите, системной красной волчанке (СКВ), дерматомиозите, склеродермии и других заболеваниях, в основе которых лежат указанные иммунопатологические процессы.
- Посттравматические плевриты,
обусловленные травмой, термическими, химическими, лучевыми и другими повреждениями плевры.
Возбудители инфекционного плеврита:
- Streptococcus pneumonia, Streptococcus pyogenes, Staphylococcus aureus Haemophilus influenzae, Klebsiella pneumoniae, Pseudomonas aeruginosa Rickettsia и др. бактерии;
- Mycobacterium tuberculosis (20% случаев);
- простейшие (Entamoeba hystolytica):
- грибы (Coccidioides immitis, Blaso myces dermatitidis и др.);
- паразиты (Echinococcus granulosus).
В этих случаях воспаление плевральных листков можно рассматривать как своеобразную защитную реакцию плевры, направленную на выделение из организма накопившихся в нем микроорганизмов, токсинов и других вредных продуктов обмена.
Основным механизмом скопления плевральной жидкости при воспалительных плевритах является выраженная экссудация
в плевральную полость, возникающая в результате воспалительного процесса в плевре и связанного с ним повышения проницаемости капилляров и лимфатических сосудов листков плевры и расположенных под плеврой тканей. Одновременно снижается резорбция
жидкости висцеральной плеврой, что связано со сдавлением и нарушением функций лимфатических сосудов, закрытием устьиц и люков между мезотелиальными клетками выпадающим фибрином, нарушением дыхательной экскурсии легкого и т.п. (Н.Р. Палеев)
Рис. 3
. Механизм образования плеврального выпота при воспалении плевры. Схематически показано значительное увеличение секреции (экссудация) и уменьшение реабсорбции плевральной жидкости.

При любом клиническом варианте плеврита, в том числе вызванном инфекцией, большое значение в патогенезе воспаления имеет патологическая иммунологическая (аллергическая) реакция сенсибилизированной плевры на инфекционно-токсическое или механическое раздражение с последующим накоплением в полости экссудата (Н.Р. Палеев). Повышению секреции плевральной жидкости способствует также высокое онкотическое давление экссудата, находящегося в полости плевры.
Основными факторами, способствующими возникновению плеврального выпота при воспалении листков плевры, являются:
- усиление секреции в полость плевры воспалительного экссудата;
- выраженные нарушения микроциркуляции в очаге воспаления, снижающие резорбцию плевральной жидкости;
- быстрое образование на поверхности плевральных листков фибринной пленки и соединительной ткани, что также препятствует реабсорбции плевральной жидкости.
Повышение гидростатического давления
в сосудах большого и малого кругов кровообращения наблюдается при правожелудочковой и бивентрикулярной сердечной недостаточности. При этом увеличивается скорость секреции плевральной жидкости париетальной плеврой и уменьшается скорость резорбции жидкости висцеральной плеврой (рис. 4).
Рис. 4.
Механизм образования плеврального выпота при правожелудочковой и бивентрикулярной сердечной недостаточности

Гипоальбуминемия
и снижение внутрисосудистого онкотического давления плазмы крови при циррозах печени и нефротичсском синдроме также сопровождаются возникновением плеврального выпота, поскольку плазма покидает сосудистое русло (рис. 5).
Рис. 5.
Механизм образования плеврального выпота при снижении онкотического давления плазмы

Опухолевые выпоты.
Возникновение плеврального выпота при опухолевом поражении плевры (мезотелиоме, саркоме, метастатическом поражении плевры и гемобластозах) связано, прежде всего, с нарушением оттока жидкости и белков через париетальную плевру вследствие обструкции лимфатических путей оттока опухолевым поражением лимфатических узлов, снижающим общую резорбцию жидкости плевральными листками (рис. 6)
Рис. 6.
Основные механизмы образования плеврального выпота при опухолевых плевритах

Второй причиной опухолевых плевральных выпотов является местная воспалительная реакция, вызванная продуктами патологического обмена опухолевой ткани (Н.Р. Палеев, 2000), которая сопровождается повышением проницаемости капилляров и усилением секреции жидкости и белка в плевральную полость. Поэтому опухолевые плевральные выпоты нередко характеризуют как «опухолевые плевриты»,
имея в виду преимущественно воспалительный генез плеврального выпота
Следует также иметь в виду, что при формировании обтурационного ателектаза возможно снижение впутриплеврального давления, что также способствует усилению секреции жидкости париетальной плеврой (рис. 7).
Рис. 7.
Один из механизмов образования плеврального выпота при обтурационном ателектазе

Наконец, выпоты при нарушении целостности плевральных листков (спонтанный пневмоторакс, гемоторакс, хилоторакс и др.) связаны с нарушением резорбции плевральной жидкости листками плевры и естественной воспалительной реакцией на повреждение ткани (рис. 8).
Рис. 8.
Образование плеврального выпота при нарушении целостности плевральных листков

Таким образом, причиной плеврального выпота может явиться большое число заболеваний внутренних органов, причем часть из них не сопровождается собственно повреждением листков плевры (застойная сердечная недостаточность, гипоальбуминемия при циррозе печени или нефротическом синдроме, гипотиреоз и др.). В остальных случаях основной причиной плеврального выпота является воспаление листков плевры инфекционного или неинфекционного генеза.
Эти два типа плеврального выпота различают главным образом по составу плевральной жидкости: выпоты воспалительного генеза {экссудаты)
отличаются большим содержанием белка и высокой активностью ЛДГ, тогда как выпоты невоспалительного генеза (транссудаты)
характеризуются противоположными изменениями (подробнее — см. ниже).
Последствия формирования плеврального выпота.
В подавляющем большинстве случаев плевральный выпот — это лишь одно из проявлений других заболеваний внутренних органов. Тем не менее, появление выпота в полости плевры всегда свидетельствует о неблагоприятном и осложненном течении основного заболевания —
распространении инфекции, метастазировании опухолей, выраженных нарушениях гемодинамики, активации иммунопатологических процессов и т.д. (Н.Р. Палеев, 2000).При скоплении в плевральной полости достаточного большого количества экссудата или транссудата (не менее 700-800 мл) развиваются вентиляционные нарушения,
связанные со сдавлением части легкого, возникновением компрессионного ателектаза и дыхательной недостаточности (ДН), преимущественно по рестриктивному типу. Главным патофизиологическим механизмом ДН в этом случае является существенное ограничение расправления легкого, что проявляется в значительном уменьшении легочных объемов.
Для расправления легкого на стороне поражения требуется увеличение транспульмонального давления. Для наполнения легкого воздухом во время вдоха на стороне поражения необходимы большие мышечные усилия, что быстро приводит к развитию утомления дыхательной мускулатуры. В результате увеличивается парциальное давление СО2
(РаСО2
) в крови (гиперкапния) и снижение РаО2
(гипоксемия).
Одним из исходов воспалительного выпота (плевритов) является образование спаек и рубцов между плевральными листками — шварт
(рис. 9, а). Более редким исходом гнойных плевритов (эмпиемы плевры) является облитерация плевральной полости соединительной тканью, которая получила название фиброторакса
(рис. 9, б).
Рис. 9.
Некоторые исходы плевритов:
а - шварты, б -
фиброторакс

Клиническая картина плевритов
Традиционное деление плевритов на фибринозный (сухой) и выпотной (экссудативный) достаточно условно, поскольку в подавляющем большинстве случаев сухой плеврит является лишь первой начальной стадией формирования выпотного (экссудативного) плеврита. При небольшой экссудации и достаточной скорости резорбции воспалительной плевральной жидкости небольшое количество фибринозного экссудата удерживается локально в области воспаления плевральных листков (рис. 6.10). Если по каким-либо причинам воспалительный процесс в плевре стабилизируется и в дальнейшем не прогрессирует, на листках плевры откладывается фибринная пленка, постепенно уменьшается воспалительная экссудация и заболевание претерпевает обратное развитие. Такие случаи расцениваются как проявления фибринозного (сухого) плеврита.
Рис. 10.
Сухой плеврит (схема)

Если же стабилизации воспалительного процесса в плевре не происходит, нарастает экссудация, заметно снижается резорбция плевральной жидкости, то объем плеврального выпота увеличивается и формируется выпотной (экссудативный) плеврит
(см. рис. 3).
Тем не менее клиническая картина фибринозного (сухого) и экссудативного плеврита имеет существенные особенности.
Фибринозный (сухой) плеврит
- Наиболее частыми причинами фибринозного (сухого) плеврита
являются: пневмонии;
- туберкулез легких;
- вирусная инфекция (чаще — энтеровирусы Коксаки В);
- любые гнойно-воспалительные процессы в легких или близлежащих органах (абсцесс легкого, нагноения кист легкого, поддиафрагмальный абсцесс, инфаркт легкого, медиастинит и др.).
Инфекционные агенты попадают в плевру преимущественно лимфогенным или гематогенным путем. При пневмонии и других заболеваниях легких сухой плеврит может развиваться в результате перифокального воспаления. Сухие (фибринозные) плевриты, как правило, осложняют течение пневмоний, туберкулеза и вирусной инфекции (вирусы Коксаки В5, грипп и др.).
Расспрос
Боли в грудной клетке являются ведущим клиническим проявлением сухого (фибринозного) плеврита. Обычно боли носят острый характер, достаточно интенсивны и усиливаются при глубоком вдохе, кашле и наклоне в здоровую сторону. Боли несколько ослабевают при фиксации пораженной половины грудной клетки.
В зависимости от локализации воспаления плевры меняется локализация боли и ее иррадиация (рис. 11).
Рис. 11.
Локализация и иррадиация болей при апикальном и диафрагмальном сухом плеврите

При костальном
фибринозном (сухом) плеврите боли могут локализоваться в различных отделах грудной клетки. Причем боли в левой половине грудной клетки могут отдаленно напоминать затянувшийся приступ стенокардии, что требует проведения дифференциальной диагностики с ИБС. При апикальном
плеврите боли иррадиируют в шею, плечевой сустав.
При диафрагмальном
сухом плеврите боли могут локализоваться или иррадиировать в эпигастралыную область, правое и левое подреберье, подвздошную область, в поясницу, напоминая клинические проявления холецистита, аппендицита, язвенной болезни желудка и 12-перстной кишки, мочекаменной болезни, пиелонефрита и т.п., что может служить причиной серьезных диагностических ошибок.
При вовлечении в патологический процесс диафрагмалъного нерва
боли могут иррадиировать в плечо, шею, а также сопровождаться диспептическими расстройствами — рвотой, неукротимой икотой, продолжающейся па протяжении многих часов и т.п.
Междолевой
фибринозный (сухой) плеврит, осложняющий иногда течение затяжных пневмоний, часто протекает бессимптомно: боли в грудной клетке не выражены или имеют малую интенсивность, возникая лишь на высоте глубокого вдоха.
Наиболее характерным признаком болевого синдрома при фибринозном (сухом) плеврите, позволяющем отличить его от болей при патологии других внутренних органов, является его отчетливая связь с актом дыхания: боли внезапно появляются или резко усиливаются на высоте максимального вдоха.
По мере стихания воспалительного процесса в плевре и уплотнения фибринозного экссудата интенсивность болей в грудной клетке уменьшается.
Сухой болезненный кашель
у больных фибринозным плевритом нередко возникает в результате вовлечения кашлевых рецепторов, богато представленных в плевре, в воспалительный процесс и понижения порога их чувствительности. Кашель появляется или усиливается при глубоком дыхании, поворотах туловища, наклонах в здоровую сторону и сопровождается усилением или появлением острой плевральной боли в грудной клетке.
Повышение температуры тела
связано с характером основного заболевания. В начале заболевания температура тела может быть нормальной, а в дальнейшем, как правило, наблюдается ее повышение до субфебрильных цифр, что связано преимущественно с клиническими проявлениями основного заболевания, осложненного сухим плевритом.
Физикальные данные
При общем осмотре нередко обращает на себя внимание вынужденное положение больного, который предпочитает лежать на стороне пораженного легкого, прижимая руками наиболее болезненный участок грудной клетки (рис.12). Это позволяет несколько ограничить дыхательную экскурсию легкого и листков плевры и уменьшить боль.
Рис. 12.
Вынужденное положение больного с сухим плевритом

Нередко у больных фибринозным (сухим) плевритом можно выявить болезненность при пальпации большой грудной и трапециевидной мышц (симптом Штернберга). При поражении диафрагмальной плевры болезненность определяется при надавливании в нескольких болевых точках,
описанных Мюсси
(рис. 13):
- между ножками т.
sternocleido
-
mastoideus
(при этом боль иногда иррадиирует в шею и плечо);
- в точке пересечения X ребра и парастернальной линии.
Рис. 13.
Болевые точки Мюсси при сухом плеврите с поражением диафрагмальной плевры

Следует помнить, что обнаружение болевых точек не относится к числу специфичных проявлений сухого плеврита и нередко может встретиться при других заболеваниях и синдромах.
При исследовании грудной клетки нередко выявляется частое поверхностное дыхание и небольшое отставание в дыхании пораженной половины грудной клетки. Перкуторпо определяется ясный легочный звук, хотя дыхательная экскурсия нижнего края легкого на стороне поражения может быть снижена из-за боли. При аускультации определяется везикулярное, нередко ослабленное дыхание из-за непроизвольного ограничения дыхательных экскурсий пораженного легкого.
Единственным достоверным объективным признаком сухого плеврита является обнаружение на ограниченном участке грудной клетки шума трения плевры,
который слышен на вдохе и выдохе, усиливается при надавливании стетоскопом и не изменяется при откашливании. Иногда шум трения плевры можно выслушать даже при имитации дыхательных движений с закрытым ртом и носом (маневр Вальсальвы).
В начале заболевания шум трения плевры — нежный, напоминает крепитацию. По мере организации фибринозного экссудата шум становится более грубым, похожим на хруст снега или скрип подошвы новых ботинок. В этих случаях шум трения плевры ощущается иногда ладонью, плотно прижатой к грудной стенке.
Течение и исходы
сухого плеврита определяются характером основного заболевания. При благоприятном течении воспаление листков плевры подвергается обратному развитию и на месте воспаления, как правило, образуются плевральные сращения (спайки, шварты) или утолщение листков плевры. Если же воспаление прогрессирует, нарастает экссудация, резко снижается резорбция плевральной жидкости и формируется выпотной (экссудативный) плеврит.
Выпотной (экссудативный) плеврит
Расспрос
Выпотной (экссудативный) плеврит в большинстве случаев начинается с описанных выше симптомов фибринозного (сухого) плеврита —
острых болей в грудной клетке, усиливающихся при глубоком вдохе, непродуктивного сухого болезненного кашля, субфеб-рильной температуры тела и др. Однако вскоре клиническая картина болезни меняется. Температура тела повышается до фебрильных цифр и сопровождается ознобами, про-фузным потом, симптомами нарастающей интоксикации. Нередко лихорадка приобретает гектический характер.
Известные симптомы интоксикации (мышечная слабость, сопливость, заторможенность, головные боли, снижение аппетита и др.), как правило, выражены умеренно. Явления интоксикации значительно усиливаются при гнойном плеврите — эмпиеме плевры (см. ниже).
По мере накопления экссудата и расхождения листков плевры острые интенсивные боли в грудной клетке уменьшаются или исчезают совсем. При этом больные нередко испытывают чувство тяжести в пораженной половине грудной клетки и жалуются на ощущение «нерасправляющегося легкого».
В ряде случаев при распространенном воспалении плевральных листков острые плевральные боли в грудной клетке могут сохраняться даже при скоплении в плевральной полости большого количества экссудата. В описываемых случаях боли, так же как и шум трения плевры, выслушиваемый при аускультации легких, локализуются над уровнем жидкости в месте соприкосновения воспаленных листков плевры (рис. 14).
Рис. 14.
Механизм болей в грудной клетке при экссудативном плеврите и распространенном поражении плевры.

По мере накопления экссудата в клинической картине на первый план начинают выступать признаки нарастающей дыхательной недостаточности и смещения средостения и трахеи. У больных появляется одышка, вначале при незначительной физической нагрузке, а затем и в покое. При небольшом количестве экссудата одышка носит характер тахипноэ. При более значительном объеме выпота одышка приобретает отчетливый инспираторный характер и сопровождается признаками усиления работы дыхательной мускулатуры.
Многих больных выпотным плевритом беспокоит рефлекторный непродуктивный сухой болезненный кашель, обусловленный поражением плевры и смещением трахеи.
Физикальные данные
При осмотре нередко обращает на себя внимание своеобразное вынужденное положение — больные стремятся занять полусидячее положение с небольшим наклоном в больную сторону. В некоторых случаях больные предпочитают лежать на здоровой стороне. Таким образом, обеспечивается большая перфузия интактного легкого, что способствует некоторому улучшению оксигенации крови и уменьшению одышки (положение decubitus
lateralis
).
Быстрое прогрессирование дыхательной недостаточности сопровождается появлением диффузного «серого» цианоза.
При выраженном смещении средостения или наличии сопутствующих заболеваний сердца цианоз приобретает смешанный характер.
Характерные для экссудативного плеврита клинические признаки выявляются уже при осмотре грудной клетки. Отмечается увеличение в объеме половины грудной клетки на стороне поражения и ее отставание в акте дыхания {симптом Гувера).
Межреберные промежутки сглажены, отсутствует их втяжение при дыхании (симптом Литтена).
Кожа па стороне поражения отечна и складка ее более массивна, чем па здоровой стороне (симптом Винтриха).
Голосовое дрожание резко ослаблено на стороне поражения в области проекции жидкости на грудную стенку (рис. 15).
Рис. 15.
Изменение голосового дрожания (а) и формы грудной клетки (б) при экссудативном плеврите.
При осмотре выявляется выбухание грудной клетки, особенно заметное на выдохе.

Обычно методом перкуссии можно выявить плевральный выпот, если его объем превышает 300-400 мл. При перкуссии в этой зоне определяется выраженное притупление перкуторного звука, а при значительной толщине слоя экссудата — абсолютно тупой («бедренный») звук. При умеренном количестве экссудата верхняя граница тапости проходит по линии Эллиса-Дамуазо
(рис. 16).
Рис. 16.
Изменение перкуторного звука при экссудативном плеврите.
Показаны область абсолютной тупости, соответствующая проекции плевральной жидкости на грудную стенку, треугольник Гарланда (область компрессионного ателектаза) и треугольник Раухфуса-Грокко (смещенное средостение)

Наиболее высокая точка этой линии располагается по задней подмышечной или лопаточной линии. Отсюда она спускается косо вниз, сзади пересекая позвоночник, а спереди доходя до срединно-ключичной линии па уровне V ребра.
При экссудативном плеврите уровень жидкости наиболее высоко расположен в заднебоковых отделах грудной клетки, где и следует особенно тщательно определять границу притупления звука для ориентировочной оценки объема плеврального выпота. Спереди по срединно-ключичной линии тупость начинает определяться только тогда, когда сзади верхняя граница достигает середины лопатки, что соответствует 2-3 л плеврального выпота (Н.Ф. Филатов) (рис. 17).
Рис. 17.
Появление тупого перкуторного звука по передней поверхности грудной клетки при значительном объеме плеврального выпота

Различия в уровне верхней границы экссудата объясняются, прежде всего, направлением смещения и компрессии легкого снизу вверх (рис. 18, а) и спереди назад (рис. 18, б), т.е. по направлению к корню легкого. При этом наименее смещенными оказываются заднебоковые отделы легкого, испытывающего компрессию. Поэтому именно в этой области жидкость достигает наиболее высокого уровня.
Рис. 18.
Смещение (компрессия) легкого снизу вверх (а) и спереди назад (б) при плевральном выпоте

Следует добавить, что при значительных количествах экссудата (более 3-4 л) уровень жидкости и, соответственно, верхняя граница притупления располагаются почти горизонтально.
Сзади выше верхней границы тупости располагается участок поджатого легкого — область компрессионного ателектаза. Он образует так называемый треугольник Гарлан
да,
ограниченный позвоночником, линией Эллиса-Дамуазо и горизонтальной линией, проходящей через ее верхнюю точку (см. рис. 16). Перкуторно здесь определяется притупление с тимпаническим оттенком. Притупление перкуторного звука связано с умеренным уплотнением поджатого легкого, а тимпанический оттенок указывает на сохранение некоторой воздушности легочной ткани в области компрессионного ателектаза и значительное снижение эластичности легочной ткани.
Наконец, если в плевральной полости скапливается значительное количество экссудата (более 4 л), перкуторно можно определить участок притупления, соответствующий проекции смещенного в здоровую сторону средостения {треугольник Раухфуса-Грокко).
Этот треугольник ограничен позвоночником и продолжением линии Эллиса-Дамуазо (см. рис. 16).
Следует добавить, что наиболее ранним клиническим (физикальным) признаком левостороннего выпота является исчезновение тимпанического звука в пространстве Траубе.
При аускультации в области тупого перкуторного звука дыхание значительно ослаблено или вообще не проводится. В треугольнике Гарланда, т.е. в области проекции компрессионного ателектаза па заднюю грудную стенку, можно выслушать слабое бронхиальное дыхание, а иногда и крепитацию. В некоторых случаях над верхней границей плеврального выпота можно выслушать шум трения плевры, что указывает на распространенный характер воспаления плевры.
При экссудативном плеврите в области проекции жидкости на грудную стенку определяется тупой перкуторный звук и резкое ослабление голосового дрожания, бронхофонии и дыхания.
Над треугольником Гарланда, соответствующим компрессионному ателектазу, выявляется притупление перкуторного звука с тимпаническим оттенком, небольшое усиление бронхофонии, слабое бронхиальное дыхание и иногда — крепитация.
При исследовании сердечно-сосудистой системы, прежде всего, обращает на себя внимание смещение средостения.
При парапневмонических выпотах средостение смещается в здоровую сторону. При опухолевых плевральных выпотах, сочетающихся с обтурационным ателектазом, который локализуется на стороне выпота, средостение смещается в сторону пораженного легкого (рис. 19).
При правостороннем парапневмоническом плеврите средостение смещается влево. При этом верхушечный толчок может локализоваться на уровне передней аксиллярной линии (рис. 19, а). В этих случаях отмечается выраженная тахикардия до 120-140 в мин, появление акроцианоза и других признаков сердечной недостаточности.
Левосторонний экссудативный плеврит сопровождается смещением правой границы относительной тупости сердца вправо (рис. 19, б). При значительных смещениях средостения вправо может произойти перегиб нижней полой вены в месте перехода ее через диафрагму, в результате чего резко ограничивается венозный возврат крови к сердцу, снижается ударный объем и сердечный выброс, развивается стойкая артериальная гипотензия.
Рис. 19.
Смещение средостения при правостороннем (а) и левостороннем (б) плевральном выпоте.

Рассасывание экссудата обычно происходит в течение 1-1,5 месяцев от начала заболевания. После выздоровления, как правило, сохраняется значительное утолщение листков плевры в месте бывшего воспаления, и нередко образуются плевральные сращения (спайки). Клиническая картина и исходы гнойных плевритов {эмпиемы плевры)
существенно отличаются от приведенных выше описаний клинических проявлений экссудативных плевритов (см. ниже).
Лабораторная и инструментальная диагностика
Анализ крови
При плевральных выпотах инфекционно-воспалительного генеза
в общем анализе крови определяются неспецифические признаки воспалительного синдрома: нейтрофильный лейкоцитоз со сдвигом формулы крови влево и увеличение СОЭ. В тяжелых случаях может выявляться токсическая зернистость нейтрофилов (рис. 20), а также признаки лейкемоидной реакции. Нередко развивается умеренно выраженная анемия нормохромного типа.
К числу характерных изменений в биохимическом анализе крови относятся выраженная диспротеинемия со снижением содержания альбумина и увеличением α1
- и α2
- глобулинов. Повышается также содержание белков «острой фазы воспаления» — С-реактивного протеина, гаптоглобина, серомукоида, сиаловых кислот и т.д.
При асептических плевральных выпотах неинфекционного генеза
(аллергических, аутоиммунных, посттравматических, застойных, опухолевых и других) лабораторные признаки воспалительного синдрома не столь значительны или отсутствуют совсем. В анализах крови преобладают изменения, характерные для основного заболевания, осложнившегося плевральным выпотом.
Рис. 20.
Токсическая зернистость нейтрофилов

Рентгенологическое исследование
Рентгенологическое исследование для диагностики плеврального выпота имеет решающее значение. При фибринозном (сухом) плеврите
также могут быть получены важные, хотя и неспецифические данные, позволяющие с определенной степенью вероятности подтвердить наличие воспалительного процесса в листках плевры.
К рентгенологическим признакам сухого плеврита относятся:
- высокое стояние купола диафрагмы на стороне поражения;
- ограничение подвижности купола диафрагмы и нижних границ легкого при глубоком дыхании (выявляется при рентгеноскопии органов грудной клетки);
- снижение прозрачности легочного поля над диафрагмой и в области реберно-диафрагмального синуса (рис. 21).
Рис. 21.
Высокое стояние купола диафрагмы при фибринозном (сухом) плеврите.
Заметно небольшое снижение прозрачности легочного поля над куполом диафрагмы.

При выпотном плеврите
наиболее ранним рентгенологическим признаком скопления жидкости в плевральной полости является сглаживание (облитерация) острого реберно-диафрагмального угла с вогнутой верхней границей уровня жидкости (R.H. Ingram, 1995; рис. 22).
Рис. 22
. Сглаживание острого реберно-диафрагмального угла при небольшом объеме плеврального выпота.

По мере нарастания объема экссудата на рентгенограммах начинает определяться однородное затемнение, которое прилежит к наружному краю грудной клетки и диафрагме. Верхняя граница затемнения чаще располагается косо — сверху вниз и снаружи кнутри (рис. 23). При перемене положения тела затемнение и его верхняя граница меняют свою форму и расположение в связи с перемещением жидкости (рис. 24).
При скоплении в плевральной полости большого количества экссудата в нижнебоковых отделах легочного поля появляется значительных размеров треугольная тень с косой верхней внутренней границей. При этом купол диафрагмы уплощается, а средостение смещается в здоровую сторону (рис. 25).
Иногда экссудат располагается равномерным топким слоем но всей поверхности легкого и создает картину «плащевидного» плеврита.
В таких случаях на рентгенограмме вся поверхность легкого завуалирована, а вдоль реберного края проходит характерная краевая полоска тени неодинаковой ширины.
Рис. 23.
Рентгенограмма легких при экссудативном плеврите и умеренном количестве плевральной жидкости.
Заметно интенсивное затемнение нижнего легочного поля слева, небольшое увеличение левой половины грудной клетки. Смещение средостения отсутствует

Рис. 24.
Изменение формы и расположения затемнения и его верхней границы при перемене положения тела (по Э. Г. Гроссману, 1963)
Рис. 25.
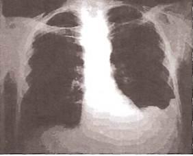
Рентгенограмма легких больного с правосторонним экссудативным плевритом

Выявлению малых количеств плеврального выпота (более 100-150 мл) помогает латерография
— рентгенологическое исследование в положении пациента на боку на стороне поражения (рис. 26). При наличии свободной неосумкованной жидкости появляется пристеночная узкая лентовидная тень (рис. 27).
Рис. 26.
Принцип методики латерографии.

Рис. 27.
Узкая полоска плеврального выпота, выявленная при латерографии

При осумкованном выпотном плеврите, развивающемся на фоне плевральных сращений, граница тени жидкости становится более четко очерченной и выпуклой кверху. При междолевых плевритах однородное ограниченное затемнение часто имеет удлиненную форму, ровные, несколько выпуклые границы и совпадает с ходом междолевой щели (рис. 28).
Рис. 28.
Ограниченное затемнение легочного поля при осумкованном плеврите справа.

Еще более чувствительными методами выявления плеврального выпота являются ультразвуковое исследование
органов грудной клетки (УЗИ) и компьютерная томография
(КТ). На рис. 29 представлена КГ больного с правосторонним экссудативным плевритом. В задненижних отделах правого легочного поля (исследование проведено в положении пациента лежа на спине) заметно скопление жидкости с четкими границами и сдавление правого легкого (компрессионный ателектаз). Средостение несколько смещено в «здоровую» сторону
Рис. 29.
Компьютерная томограмма больного с экссудативным плевритом.

Следует заметить, что при выполнении КТ по коэффициенту поглощения рентгеновского излучения обычно удается легко отличить скопление жидкости в плевральной полости и уплотнение самой легочной ткани, что нередко вызывает затруднения при проведении обычной рентгенографии органов грудной клетки.
Рентгенологическое исследование органов грудной клетки у больных с выпотным плевритом целесообразно проводить как до плевральной пункции, так и сразу после нее. Эвакуация достаточного количества плевральной жидкости позволяет уточнить характер патологического процесса в легких (пневмония, туберкулез, опухоль и др.), который мог бы явиться причиной плеврального выпота.
Исследование плеврального выпота
Исследование плевральной жидкости имеет решающее значение для диагностики выпота в полости плевры. Исследование позволяет определить два основных вида плеврального выпота (экссудат и транссудат), уточнить характер патологического процесса в плевре (гнойно-воспалительный, асептический, опухолевой, застойный и т.д.), выделить возбудителя инфекционных плевритов и определить его чувствительность к антибиотикам. У больных со значительным объемом плеврального выпота и выраженной дыхательной недостаточностью экстренная эвакуация плевральной жидкости проводится с лечебной целью и относится к средствам неотложной медицинской помощи.
Техника плевральной пункции (торакоцентеза)
Плевральная пункция (торакоцентез) проводится с диагностической и лечебной целью при наличии плеврального выпота. Считают, что диагностический торакоцентез по
казан
в тех случаях, когда при латерографии обнаруживается тень свободной жидкости в плевральной полости шириной более 10 мм (Р.Е. Parson, Yuan-Po Tu, 2004). Если возникает необходимость диагностической пункции при меньшем количестве плеврального выпота, исследование проводится только под контролем УЗИ.
Относительными противопоказаниями к проведению торакоцентеза являются:
- значительные нарушения свертывания крови и тромбоцитарно-сосудистого гемостаза;
- выраженная портальная гипертензия, нередко сопровождающаяся варикозным расширением плевральных вен;
- наличие у пациента тяжелой ХОБЛ;
- наличие у пациента одного легкого;
- тяжелое состояние больного (за исключением дыхательной и сердечной недостаточности, вызванной большим объемом плеврального выпота и развитием компрессионного ателектаза или/и смещением средостения).
Торакоцентез проводится под местной анестезией, обычно в VII межреберье (но не ниже VIII ребра) между задней подмышечной и лопаточной линиям (рис. 30). Пункцию проводят по верхнему краю нижележащего ребра, так как по нижнему краю проходят межреберные сосуды и нервы (рис. 31). Срез иглы должен быть направлен вниз (к ребру). Предварительно тщательно исследуют больного, в том числе используя рентгенологический или ультразвуковой метод, для того чтобы получить информацию о местоположении верхнего уровня жидкости. Во время процедуры торакоцентеза больной сидит на стуле, лицом к спинке, свободно положив на нее руки и расслабив мышцы шеи.
Рис. 30.
Положение пациента и место прокола грудной стенки при проведении торакоцентеза.

Рис. 31.
Схема плевральной пункции.

Возможно также положение больного на краю кровати; тогда руки укладывают на прикроватный столик.
Непосредственно перед проведением торакоцентеза врач перкутирует грудную клетку и еще раз определяет уровень жидкости, делая отметку на коже. Кожу спины обрабатывают антисептическим раствором (обычно спиртовым раствором йода), после чего место пункции обкладывают стерильным материалом.
Кожу в месте прокола инфильтрируют раствором анестетика (новокаин, лидокаин), создавая «лимонную корочку». Затем анестезируют более глубоко расположенные ткани (подкожную клетчатку, надкостницу, плевру), медленно продвигая иглу, надетую па шприц, по верхнему краю ребра и постоянно инфильтрируя ткани анестетиком. По мере приближения к плевре введение каждой порции анестетиком чередуют с подтягиванием поршня шприца на себя. Когда в шприце появляется содержимое плевральной полости, иглу извлекают, надевают на шприц толстую и длинную пункционную иглу и медленно и осторожно проводят ее тем же путем в плевральную полость, поддерживая разряжение в шприце.
Иногда при проколе листка плевры ощущается препятствие, связанное с утолщением плевры, а при попадании иглы в полость плевры — ощущение «свободного пространства».
Когда в шприце появилась плевральная жидкость, шприц снимают и немедленно зажимают отверстие канюли пункционной иглы пальцем для предотвращения попадания в полость плевры воздуха. Через иглу вводят специальный проводник, по которому, предварительно удалив иглу, проводят специальный катетер, конец которого прикрывают пальцем. Отводящую канюлю катетера соединяют с вакуум-насосом (аппаратом Потопа) и аспирируют жидкость из плевральной полости. После этого катетер удаляют.
Малое количество плевральной жидкости (выпота) можно удалить также с помощью 20-граммового ширина, создавая в нем разрежение. При этом следует помнить, что при снятии шприца отверстие канюли пункционной иглы необходимо зажать пальцем.
После проведения торакоцентеза на место прокола накладывают стерильную повязку и повторяют рентгенологическое исследование, чтобы оцепить количество оставшейся в плевральной полости жидкости и исключить развитие пневмоторакса.
Удаление большого количества плеврального выпота (более 1,5 л) иногда может сопровождаться быстрым смещением средостения и развитием коллапса. При повреждении межреберных и других сосудов в плевральном содержимом появляется алая кровь.
Осложнения торакоцентеза.
При проведении плевральной пункции следует иметь в виду риск развития некоторых осложнений, часть из которых связана с погрешностями в технике торакоцентеза и отсутствием необходимого при проведении пункции плевральной полости ультразвукового контроля. К числу наиболее значимых осложнений относятся:
- пневмоторакс (примерно в 10% случаев торакоцентеза, проводимого «вслепую»);
- кровотечение;
- инфекции;
- артериальная гипотензия и коллапс;
- гипоксемия;
- .воздушная эмболия;
- повреждение селезенки;
- развитие одностороннего отека легкого (при длительном — более 7 дней — существовании компрессионного ателектаза и одномоментном удалении более 1,5 л плевральной жидкости).
Анализ плевральной жидкости включает:
- определение ее физико-химических свойств;
- цитологическое исследование;
- при необходимости — микробиологическое исследование.
Определение физико-химических свойств
Определение физико-химических свойств плеврального выпота начинают с оценки внешнего вида полученного материала и определения его цвета, прозрачности, консистенции и запаха. По этим признакам можно выделить несколько разновидностей плеврального выпота:
Транссудат — невоспалительный выпот в плевральной полости, образующийся в результате повышения гидростатического давления (правожелудочковая или бивентрикулярная сердечная недостаточность) или снижения коллоидно-осмотического давления плазмы крови (нефротический синдром при гломерулонефрите, амилоидозе почек и липоидном нефрозе, при циррозах печени с нарушением ее белково-синтетической функции и др.). По внешнему виду транссудат представляет собой прозрачную желтоватого цвета жидкость, без запаха.
Экссудаты — плевральный выпот воспалительного происхождения (инфекционного и неинфекционного генеза). Все экссудаты отличаются высоким содержанием белка, в частности фибриногена, и большой относительной плотностью. Внешний вид экссудата зависит от характера воспалительного процесса в плевре, клеточного состава плевральной жидкости и некоторых других факторов.
Различают несколько основных видов экссудатов:
- Серозный экссудат — прозрачную желтоватую жидкость, без запаха, по внешнему виду очень напоминающую транссудат. У больных с плевральными выпотами различной этиологии серозный экссудат встречается в 70% случаев (Н.С. Тюхтин). Наиболее частой причиной серозного экссудата являются туберкулез, пневмонии и опухоли.
- Гнойный экссудат — мутный (в связи с обилием лейкоцитов), желтовато-зеленоватого или серовато-белого цвета, густой, сливкообразной консистенции, обычно без запаха. Гнойный экссудат обычно выявляется при плевритах, вызванных бактериальной флорой. При гангрене или абсцессе легкого, осложненном гнилостным плевральным выпотом, последний приобретает неприятный зловонный запах, что обусловлено распадом белка под действием анаэробных бактерий.
- Геморрагический экссудат. В зависимости от примеси крови и длительности ее пребывания в полости плевры имеет кровянистую окраску различной интенсивности — от розового прозрачного до темно-красного и бурого цвета, мутной жидкости и содержит значительную примесь измененных и неизмененных эритроцитов. При их гемолизе экссудат приобретает своеобразный лаковый вид. Геморрагический экссудат чаще наблюдается при плевральных выпотах, связанных с опухолевым процессом в плевре и легком (первичная опухоль плевры — мезотелиома, метастазы опухоли в плевру), при травматическом плеврите и туберкулезе. Реже различные варианты геморрагического выпота, в том числе серозно-геморрагического, выявляются при пневмониях и других заболеваниях.
- Хилезные и хилусоподобные экссудаты — это мутная беловатая жидкость, напоминающая по виду молоко вследствие большого содержания жира. Хилезные экссудаты образуются при затруднении оттока лимфы через грудной лимфатический проток вследствие сдавления его опухолью, увеличенными лимфатическими узлами или при разрыве протока (травма, опухоль). Хилусоподобные экссудаты также содержат большое количество жира, по не за счет примеси лимфы (хилуса), а благодаря обильному распаду клеток, претерпевающих жировое перерождение, что чаще наблюдается при хроническом воспалении серозных оболочек.
- Холестериновые экссудаты представляют собой густую жидкость с темно-желтоватым или коричневатым оттенком и встречаются обычно при хронических осумкованных выпотах давностью несколько лет.
Транссудаты и серозные экссудаты прозрачны, имеют характерную слегка желтоватую окраску. Гнойные, геморрагические, хилезные, хилусоподобные и холестериновые экссудаты в большинстве случаев мутные и по цвету отличаются от транссудатов и серозных экссудатов.
В таблице 6.2 представлены некоторые важные диагностические признаки, которые можно выявить при макроскопическом исследовании плеврального содержимого.
Таблица 2
.
Диагностическое значение некоторых макроскопических признаков плеврального выпота
| Признаки
|
Диагностическое значение
|
| Кровь в плевральном выпоте
|
Опухолевой плеврит (около 44%) Посттравматический плеврит Туберкулезный плеврит Парапневмонический плеврит и др.
|
| Белый цвет выпота
|
Хилезный выпот Хилусоподобный выпот
Холестериновый выпот
|
| Цвет шоколадного сиропа
|
Амебный абсцесс печени с прорывом в полость плевры
|
| Черный цвет
|
Выпот при аспергиллезе
|
| Выпот желтовато-зеленоватого цвета
|
Плеврит при ревматоидном артрите
|
| Гной
|
Эмпиема плевры
|
| Гнилостный запах
|
Эмпиема плевры (анаэробные возбудители)
|
| Очень большая вязкость выпота
|
Мезотелиома
|
| Запах аммиака
|
Уремический выпот
|
Лабораторное исследование физико-химических свойств плевральных выпотов в большинстве случаев дает возможность дифференцировать транссудат и экссудат.
Относительная плотность
транссудатов колеблется от 1,002 до 1,015, а экссудатов — выше 1,018.
Белок.
Транссудаты содержат не более 5-25 г/л белка, экссудаты — от 30 г/л и более. Особенно большой концентрацией белка отличаются гнойные экссудаты (до 70 г/л). Часто определяют отношение белка плеврального выпота к белку сыворотки крови (белкового коэффициента).
Для транссудатов характерен относительно низкий белковый коэффициент (ниже 0,5). Экссудаты отличаются более высоким отношением (>0,5).
Пробу Ривальта
используют для ориентировочного отличия экссудатов от транссудатов. Она основана на том, что при добавлении капли экссудата с относительно высокой концентрацией белка в раствор уксусной кислоты он мутнеет (рис. 32). В цилиндр емкостью 100 мл наливают дистиллированную воду и подкисляют ее 2-3 каплями ледяной уксусной кислоты. Затем в цилиндр добавляют по каплям исследуемую жидкость. Если при этом появляется своеобразное помутнение раствора в виде белого облачка, опускающегося па дно цилиндра (рис. 32, а), пробу считают положительной,
что характерно для экссудата. Если падающие капли быстро и бесследно растворяются (рис. 32, б), пробу расценивают как отрицательную
(транссудат).
Рис. 32.
Положительная (а) и отрицательная (б) проба Ривальта.

Глюкоза.
Определение содержания глюкозы в плевральном выпоте проводят одновременно с изучением концентрации глюкозы в крови. Уменьшение отношения уровней глюкозы в плевральной жидкости и крови ниже 0,5 характерно для экссудатов, что часто указывает па блокирование переноса глюкозы в плевральный выпот. Кроме того, в очаге воспаления под влиянием полиморфно-ядерных лейкоцитов и бактерий происходит активация анаэробного метаболизма глюкозы, что сопровождается снижением концентрации глюкозы в плевральной полости, образованием молочной кислоты и двуокиси углерода. Снижение содержания глюкозы ниже 3,3 ммоль/л встречается при туберкулезе, ревматоидном артрите, злокачественных опухолях, пневмонии (парапневмонический выпот), разрыве пищевода, а также в ранних стадиях острого волчаночного плеврита. Наиболее выраженное снижение концентрации глюкозы наблюдается при развитии гнойного плеврита (эмпиемы плевры).
Уменьшение рН
плевральной жидкости ниже 7,3 выявляют при тех же патологических состояниях. Значение рН плеврального выпота обычно хорошо коррелирует с пониженным уровнем глюкозы. Снижение рН плевральной жидкости при гнойно-воспалительных и неинфекционных плевритах обусловлено усилением анаэробного метаболизма глюкозы, в результате которого повышается содержание молочной кислоты и СО2
и развивается ацидоз.
Активность лактатдегидрогеназы (ЛДГ)
позволяет ориентировочно оцепить интенсивность воспалительного процесса в плевре. Для экссудатов в целом характерен высокий уровень ЛДГ (более 1,6 ммоль/л х ч, а для транссудатов — низкий (менее 1,6 ммоль/л х ч). Иногда определяют так называемый ферментный коэффициент —
отношение содержания ЛДГ выпота к ЛДГ сыворотки крови, который в экссудатах превышает 0,6, а в транссудатах — меньше 0,6.
Таким образом, определение физико-химических свойств плеврального выпота в большинстве случаев (хотя не всегда) позволяет дифференцировать транссудат и экссудат, наиболее характерные отличия которых представлены в таблице 6.3.
Запомните:
Для транссудатов
характерны низкая относительная плотность (1,002-1,015), небольшое содержание белка (до 25 г/л), низкая активность ЛДГ (< 1,6 ммоль/л х ч), сравнительно высокий уровень глюкозы (> 3,3 г/л), отрицательная проба Ривальта, снижение белкового (< 0,5) и ферментного (< 0,6) коэффициентов.
Экссудаты отличаются более высокими значениями относительной плотности (> 1,018) и содержания белка (30 г/л и выше), высокой активностью ЛДГ (> 1,6 ммоль/л х ч), снижением концентрации глюкозы (< 3,3 ммоль/л), положительной пробой Ривальта и увеличением белкового (> 0,5) и ферментного (> 0,6) коэффициентов.
Следует добавить, что высокий уровень амилазы в плевральной жидкости характерен для выпотов, обусловленных заболеваниями поджелудочной железы — острым или обострением хронического панкреатита. Кроме того, повышение амилазы в плевральной жидкости встречается при разрывах пищевода и (очень редко) при аденокарциноме легкого. Характерно, что в этих случаях уровень амилазы в плевральном выпоте более высокий, чем в сыворотке крови.
Иммунологические исследования
плеврального содержимого позволяют обнаружить возбудителя заболевания и/или антитела к нему. С этой целью как правило используют высокоинформативные иммуноферментный анализ и полимеразно-цепную реакцию (ПЦР).
Таблица 3.
Основные отличия транссудата и экссудата
| Показатели
|
Транссудат
|
Экссудат
|
| Относительная плотность
рН выпота
|
< 1,015
|
> 1,018
|
| >7,3
|
<7,3
|
| Содержание белка выпота, г/л
|
<25
|
>30
|
| «Белковый коэффициент» — отношение: белок выпота / белок сыворотки
|
<0,5
|
>0,5
|
| Проба Ривальта
|
Отрицательная
|
Положительная
|
| Фибриноген
|
Присутствует
|
Отсутствует
|
| Осадок
|
Имеется
|
Незначительный
|
| Глюкоза выпота, ммоль/л
|
>3,3
|
<3,3
|
| Отношение: глюкоза выпота/глюкоза сыворотки
|
>0,5
|
<0,5
|
| ЛДГ выпота, ммоль/л х ч
|
<1,6
|
>1,6
|
| «Ферментный коэффициент» — отношение: ЛДГ выпота/ЛДГ сыворотки
|
<0,6
|
>0,6
|
Микроскопическое исследование
Микроскопическое исследование плевральных выпотов производят в нативных и окрашенных препаратах. Выпотную жидкость центрифугируют. Для приготовления нативного препарата каплю осадка наносят на предметное стекло и накрывают покровным стеклом. Для получения окрашенных препаратов небольшую каплю осадка помещают на предметное стекло и обычным способом готовят мазок. После его высушивания на воздухе и фиксации препарат окрашивают.
При исследовании нативных препаратов
ориентировочно оценивают количество клеточных элементов, их качественный состав и наличие опухолевых (атипичных) клеток. В нативных препаратах можно обнаружить следующие элементы: эритроциты, лейкоциты, клетки мезотелия, опухолевые клетки, детрит, жировые капли, кристаллы холестерина и др.
Эритроциты
содержатся в любой выпотной плевральной жидкости. Транссудат и серозные экссудаты содержат небольшое количество этих клеточных элементов (меньше 10 х 109
/л), тогда как в геморрагических экссудатах эритроциты густо покрывают все поля зрения.
Лейкоциты
также обнаруживаются во всех плевральных выпотах, однако по попятным причинам их значительно больше в воспалительных жидкостях — экссудатах, особенно в гнойных. В транссудате количество лейкоцитов не превышает 15 в поле зрения или (1 х 109
/л). Соотношение отдельных видов лейкоцитов изучают при микроскопии окрашенных препаратов.
Детрит,
характерный для гнойных экссудатов, имеет вид мелкозернистой сероватой массы.
Жировые капли
в виде круглых, преломляющих свет капель обнаруживаются при гнойных экссудатах с большим клеточным распадом, а также при хилезных и хилоподобных экссудатах.
Кристаллы холестерина
в виде тонких обрезанных пластинок встречаются обычно при старых осумкованных выпотах, чаще туберкулезного происхождения (холестериновые экссудаты).
При микроскопии окрашенных мазков
подсчитывают процентное содержание отдельных видов лейкоцитов, а также более детально изучают морфологию других клеточных элементов. Окрашенный препарат просматривают вначале под малым увеличением, а затем с использованием иммерсионной системы.
Нейтрофилы
в большом количестве содержатся в гнойном и серозно-гиойном экссудате. При доброкачественном течении заболевания многие нейтрофилы сохраняют активность, в частности выполняют фагоцитарную функцию. При тяжелых гнойных плевритах нейтрофилы, обнаруживаемые в гнойном экссудате, отличаются выраженными дегенеративными изменениями (токсическая зернистость, вакуолизация цитоплазмы, гиперсегментация и пикноз ядер и другие признаки), вплоть до полного распада клеток с образованием детрита. При серозных экссудатах туберкулезной этиологии нейтрофилы выявляются в начальной стадии заболевания, а затем их количество обычно уменьшается, но увеличивается содержание лимфоцитов. При неблагоприятном течении заболевания нейтрофилы сохраняются в экссудатах длительное время, свидетельствуя, по сути, о переходе серозного экссудата в гнойный.
Лимфоциты
присутствуют в любых экссудатах. При серозном характере плеврального выпота (например, туберкулезного происхождения) их содержание достигает 80-90% от общего числа лейкоцитов. Следует, однако, помнить, что лимфоцитарный характер экссудата (преобладание лимфоцитов) рано или поздно проявляется при любой этиологии плеврита, обычно начиная со второй недели заболевания.
Эозинофилы
в плевральном выпоте обычно свидетельствуют об аллергическом поражении легких и плевры и часто выявляются при ревматизме и аллергических заболеваниях (например, при паразитарных заболеваниях). Значительное увеличение эозинофилов в плевральной жидкости (более 30-40% от общего числа лейкоцитов) характерно для так называемого эозинофилъного плеврита,
причиной которого могут быть:
- рак легкого с метастазами в плевру;
- ревматизм;
- туберкулез;
- травматический плеврит;
- паразитарные заболевания.
Плазматические клетки
обычно обнаруживаются при травматических плевритах и при затяжных воспалительных процессах в плевре.
Клетки мезотелия
представляют собой крупные (до 25-30 мкм) клетки правильной формы с центрально расположенным крупным ядром. Они обнаруживаются в начальных стадиях воспаления или при реактивном раздражении плевры, а также при опухолях (например, при мезотелиоме).
Атипичные (опухолевые) клетки,
отличающиеся значительным полиморфизмом, характерны для раковых плевритов. Однако диагноз ракового поражения плевры считается достоверным только в тех случаях, если атипичные клетки располагаются в препаратах в виде комплексов (конгломератов).
Бактериологическое исследование
Во всех случаях, когда плевральный выпот имеет характер экссудата,
проводится его бактериологическое исследование, позволяющее выделить возбудителя заболевания и определить его чувствительность к антибиотикам. Обычно используют метод посева стерильного материала, полученного при плевральной пункции с соблюдением всех правил асептики.
Плевральную жидкость, доставленную в лабораторию в стерильном флаконе, центрифугируют и осадок используют для посева на питательные среды и для приготовления мазков. Мазки окрашивают по Цилю-Нильсену, по Граму или другим способом. При исследовании на микобактерии туберкулеза экссудат предварительно обрабатывают методом флотации. Наиболее достоверным методом выявления возбудителей туберкулеза является посев на специальные питательные среды для культивирования туберкулезной палочки, а также заражение патологическим материалом морских свинок. Бактериоскопия микобактерий туберкулеза редко дает положительные результаты.
Торакоскопия
Торакоскопия — это эндоскопическое исследование плевральной полости, которое проводится с диагностической или лечебной целью.
Показаниями
для диагностической торакоскопии служат (B.C. Савельев, В.М. Буянов, Г.И. Лукомский):
- Наличие экссудативного плеврита неясной этиологии.
- Спонтанный пневмоторакс.
- Эмпиема плевры.
- Опухоли плевры.
- Туберкулез плевры.
- Пороки развития листков плевры.
- Наличие субплеврально расположенных воспалительных и опухолевых процессов в легких, грудной стенке и средостении
Лечебная торакоскопия проводится с целью рассечения плевральных спаек, лечения спонтанного пневмоторакса, эмпиемы плевры и т.п. (см. ниже).
Противопоказаниями
к проведению исследования считаются некорректируемые нарушения свертываемости крови, кахексия, острый инфаркт миокарда или нестабильная стенокардия, инсульты, терминальное состояние больного. Тем не менее, некоторые из этих патологических состояний не всегда являются основанием для отказа от проведения торакоскопии. Такая ситуация может возникнуть, например, у больных с напряженным спонтанным пневмотораксом или эмпиемой плевры, когда торакоскопия проводится по жизненным показаниям. Естественно, торакоскопия невозможна при частичной или полной облитерации полости плевры.
Исследование проводят обычно с помощью жестких или гибких фиброторакоскопов. После премедикации и анестезии мягких тканей в IV межреберье по средней подмышечной линии скальпелем делают разрез кожи и мягких тканей, проникая до париетальной плевры, и в окружности прокола накладывают кисетный шов. В рану вводят фиброскоп, перфорируя париетальную плевру (иногда с помощью троакара), и затягивают кисетный шов. После этого аспирируют экссудат, при необходимости, для лучшей визуализации листков плевры, дополнительно вводят воздух в плевральную полость и последовательно осматривают все отделы париетальной и висцеральной плевры. Исследование заканчивается проведением биопсии из наиболее измененных участков плевры.
К неспецифическим признакам воспаления плевры,
выявляемым при торакоскопии, относятся гиперемия и отек листков плевры, наличие на их поверхности кровоизлияний, отложений фибрина и т.п. В ряде случаев в плевральной полости обнаруживают спайки.
При туберкулезе плевры, мезотелиоме и других опухолях плевры поверхность плевральных листков становится неровной, на ней выявляются различных размеров сероватые и желтоватые бугорки, выступающие над поверхностью плевры. Диагноз уточняется после биопсии и гистологического исследования биоптатов.
Над поверхностью висцерального листка плевры могут выступать также эмфизематозные буллы.
После окончания процедуры в плевральную полость па несколько часов устанавливают дренажную трубку, направленную в верхние отделы полости, чтобы ликвидировать пневмоторакс, созданный во время торакоскопии.
Осложнения
торакоскопии не относятся к числу жизнеопасных. Наиболее часто наблюдается послеоперационная лихорадка (около 10-15% случаев). Гораздо реже (около 2%) развивается подкожная эмфизема, кровотечение, инфекция, снижение сатурации кислорода.
Биопсия плевры
Различают три вида биопсии плевры: 1) торакоскопическую, 2) операционную и 3) пункционную.
Торакоскопическая
биопсия отличается высокой информативностью и позволяет верифицировать диагноз опухоли или метастатического поражения плевры в 90% случаев, а диагноз туберкулезного плеврита — в 60-93% (Н.С. Тюхтин).
К операционной
биопсии плевры (малой торакотомии) прибегают при наличии у больного плевральных сращений и невозможности проведения торакоскопии. Обладая высокой информативностью, этот метод, тем не менее, требует госпитализации больного в хирургический стационар, что ограничивает возможность его широкого применения.
Метод пункционной биопсии
париетальной плевры был предложен De Francis в 1955 г. Он отличается относительной простотой и может выполняться в терапевтических стационарах и даже амбулаторно. Метод может быть использован даже у тяжелых больных с кардиальной патологией, дыхательной недостаточностью, а также при облитерации полости плевры. Биопсийиый материал получают с помощью специальных игл, которыми пунктируют париетальный листок плевры.
Диагностическая точность метода пункционной биопсии при различных заболеваниях плевры существенно ниже, чем торакоскопической и операционной биопсии, и составляет около 50%.
Ультразвуковое исследование
Ультразвуковое исследование легких позволяет обнаружить в плевральной полости даже малые количества свободной жидкости. При этом между обоими листками плевры, раздвигающимися при скоплении жидкости в полости плевры, обнаруживают однородное эхонегативное пространство, толщина которого зависит от объема плеврального выпота. Ультразвуковое исследование используют обычно для нахождения оптимального места для пункции плевральной полости и контроля за проведением торакоцентеза.
Массивный выпот (диффузный плеврит)

Плеврит, выявленный только при УЗИ

Осумкованный плеврит.

Общие принципы лечения
Основные принципы лечения:
- дезинтоксикационная терапия;
- этиотропная терапия;
- противовоспалительная терапия;
- симптоматическое лечение;
- эвакуация экссудата.
Дезинтоксикационная терапия
Показана при наличии выраженной интоксикации на фоне экссудативного плеврита или эмпиемы плевры. Трансфузия свежезамороженной плазмы оказывает дезинтоксикационный эффект и восполняет дефицит белка.
Этиотропная терапия
Является основным методом лечения плевритов.
При пневмониях и абсцессах легких применяют противомикробные ЛС при туберкулезном плеврите — соответствующую противотуберкулезную терапию. При наличии системных заболеваний соединительной ткани и плеврите аллергической этиологии назначают ГКС для системного применения.
Проведение системной химиотерапии при раке молочной железы, яичников мелкоклеточном раке легкого, лимфомах может привести к ликвидации плеврального выпота у 30—60% пациентов.
Плевриты неясной этиологии следует лечить как туберкулезные.
Таблица 1
. Причины плеврального выпота
| |
Основные
|
Менее частые
|
| Транссудаты
|
Сердечная недостаточность
|
Нефритический синдром:
Цирроз
Перитонеальный диализ
Микседема.
|
| Экссудаты
инфекционные
|
Парапневмонический выпот
Туберкулез
|
Поддиафрагмальный абсцесс
Вирусная инфекция
Грибковая инфекция
|
| Экссудаты
неинфекционные
|
Эмболия легочной артерии
|
Коллагенозы
Панкреатит
Реакция на применение некоторых ЛС
Асбестоз
Синдром Дресслера
Синдром "желтых ногтей"
|
| Опухолевый
экссудат
|
Метастазы рака
Лимфома
|
Мезотелиома
Синдром Мейгса
|
| Гемоторакс
|
Травма
|
Нарушения гемостаза (спонтанный гемоторакс)
|
| Хилоторакс
|
Лимфома
Карцинома
Травма
|
Лимфангиолеомиоматоз
|
Таблица 2
. Диффренциальная диагностика между транссудатом и экссудатом.
| Показатель
|
Транссудат
|
Экссудат
|
| Плотность
|
< 1,015
|
> 1.018
|
| уровень белка
|
< 20,0 г/л
|
>30,0 г/л
|
| Соотношение уровней белка в плевральной жидкости и плазме крови
|
<0,5
|
>0,5
|
| Уровень ЛДГ в плевральной жидкости
|
< 200 ЕД/л
|
> 200 ЕД/л
|
| Соотношение уровней ЛДГ в плевральной жидкости и плазме крови
|
< 0,6
|
>0,6
|
| Уровень глюкозы в плевральной жидкости
|
> 3,33 ммоль/л
|
< 3,33 ммоль/л
|
Противовоспалительная терапия
НПВС
способствуют более быстрому купированию симптомов плеврита, оказывают болеутоляющее действие.
Диклофенак внутрь 75 — 100 мг/сут 10 сут или
Метамизол натрия внутрь по 0,5 г 2—3 р/сут 10 сут или
Парацетамол внутрь по 0,25—0,5 г 2 р/сут 10 сут
В ряде случаев при недостаточно быстром рассасывании выпота назначают ГКС для системного применения:
Преднизолон внутрь 10 — 20 мг/сут
Симптоматическое лечение
При сухом болезненном кашле на фоне фибринозного плеврита применяются противокашлевые ЛС центрального действия:
Декстрометорфан, сироп, внутрь по 15 мг (1 чайная ложка сиропа) 4 р/сут (до устранения кашля) или
Кодеин внутрь по 10 мг 4 р/сут (до устранения кашля)
Оценка эффективности лечения
Критерием эффективности лечения является положительная клинико-рентгенологическая динамика.
Ошибки и необоснованные назначения
Удаление при первой пункции > 750 мл плевральной жидкости опасно из-за возможного смещения средостения и активации вагусных рефлексов.
Прогноз
Прогноз при фибринозном и экссудативном плеврите зависит от течения основного заболевания. Прогноз при эмпиеме плевры серьезный.
Особенности клинической картины плевральных выпотов различного генеза
Парапневмонический выпот
Более 40% пневмоний сопровождаются плевральным выпотом, тяжесть клинической картины и прогностическое значение которого может быть различным в зависимости от преобладания тех или иных патогенетических механизмов, лежащих в основе его возникновения, особенностей возбудителя и выраженности воспалительного процесса в плевре.
Процесс формирования парапневмонического выпота условно подразделяют на несколько стадий (А.Г. Чучалин, С.Н. Авдеев, 2002):
- неосложненный парапневмонический выпот;
- осложненный парапневмонический выпот;
- эмпиема плевры (гнойный плеврит).
При иеосложненном парапневмоническом выпоте
скопление сравнительно небольшого количества жидкости в плевральной полости может быть связано со снижением резорбции плеврального содержимого, обусловленным воспалительным отеком участка легочной ткани, непосредственно прилегающим к плевре, и нарушением оттока жидкости по лимфатическим сосудам субплеврального пространства (рис. 33). Имеет значение также переход воспалительного отека с легочной ткани на плевру. На этой стадии формирования парапневмонического плеврита сколько-нибудь значительной инвазии в плевральную полость инфекционного агента, являющегося возбудителем пневмонии, обычно не происходит, и экссудат может оставаться стерильным.
Рис. 33.
Образование парапневмонического плеврального выпота

Как правило, в этих случаях плевральный выпот клинически себя никак не проявляет и диагностируется только при рентгенологическом исследовании, при котором чаще обнаруживают небольшую облитерацию реберно-диафрагмального синуса. В этих случаях специального лечения не требуется, и экссудат на фоне антибактериальной терапии рассасывается самостоятельно по мере разрешения пневмонии.
Осложненный парапневмонический плеврит
характеризуется проникновением в плевральную полость инфекционного агента, который вызывает выраженную воспалительную реакцию листков плевры и экссудацию. Частота возникновения осложненного парапневмонического плеврита зависит от вида возбудителя. Например, пневмонии, вызванные Klebsiella
spp
.,
осложняются развитием плеврита в 10% случаев, а при стрептококковой (
Streptococcus
pyogenes
)
и стафилококковой (
Staphyllococcus
aureus
)
этиологии пневмоний — в 70-95% (R.W. Light, 1980). Экссудативиый плеврит развивается у 20% больных с микоплазменной пневмонией, у 30% больных пневмонией, вызванной риккетсией Coxiella
burnetii
,
и в 20-25% при вирусных пневмониях.
В большинстве случаев начало заболевания соответствует клиническим проявлениям фибринозного (сухого) плеврита. Появляются острые интенсивные боли в грудной клетке, связанные с актом дыхания, температура тела повышается до субфебрильных или фебрильных цифр. Постепенно нарастают клинические и рентгенологические признаки экссудативного плеврита — выраженная интоксикация, одышка, сохраняется лихорадка, отмечается выраженный лейкоцитоз со сдвигом формулы крови влево и увеличение СОЭ до 40-50 мм/ч и т.п. (см. выше).
Экссудативные плевриты, возбудителем которых являются аэробные бактерии {
Staphylococcus
aureus
,
Streptococcus
pyogenes
,
Klebsiella
spp
.,
Escherichia
coli
,
Haemophilus
influ
-
encae
,
Pseudomonas
aeruginosa
и др.), отличаются более острым течением заболевания, тогда как для плевритов, вызванных анаэробами {
Prevotella
spp
.,
Fusobacterium
nucleatum
,
Bacterioides
spp
.,
Streptococcus
intermedius
и др.), характерно постепенное развитие симптомов и нередкое присоединение кровохарканья, снижение массы тела и анемии (А.Г. Чучалин, С.Н Авдеев, 2002). Экссудативные плевриты, осложнившие течение вирусных и микоплазменных пневмоний, отличаются относительно быстрым рассасыванием экссудата, благоприятным течением и исходами.
Парапневмонический экссудат отличается высокой относительной плотностью (1,016-1,020) и содержанием белка (до 30-50 г/л), небольшим снижением концентрации глюкозы (в пределах 3,29-2,8 ммоль/л) и рН плеврального выпота (7,1-7,29). При микроскопии выявляется большое количество лейкоцитов, преимущественно ней-трофилов (более 10-15 х 103
/мл). Правда, в последние годы на фоне своевременно начатой антибактериальной терапии пневмонии чаще обнаруживают преимущественно лимфоцитарный состав экссудата, даже на ранних стадиях формирования плеврита.
Типичный гнойно-воспалительный экссудат выявляется в 15-20% случаев.
Таблица 4.
Частота бактериологического обнаружения возбудителя экссудативного плеврита (по R.W. Light, H.C. Тюхтину, С.Н. Авдееву и др. в модификации)
| Возбудитель
|
Частота обнаружения в экссудате
|
| Анаэробные бактерии
|
| Prevotella spp., Fusobacterium nucleatum, Bactericides spp.,
Streptococcus intermedius
и др.
|
До 70%
|
| Грамположительные аэробные
бактерии
|
| Staphylococcus aureus, Streptococcus pyogenes
и др.
|
40-80%
|
| Streptococcus pneumoniae
|
4%
|
| Грамотрицательные аэробные бактерии
|
| Klebsiella pneumoniae
|
20%
|
| Escherichia coli
|
80%
|
| Proteus spp.
|
50%
|
| Грибы
|
| Blastomyces dermatitidis
|
100%
|
| Cryptococcus neotormans
|
40-50%
|
| Coccidioides immitis
|
20%
|
При бактериологическом исследовании плеврального содержимого иногда удается обнаружить возбудителя экссудативного плеврита. Однако следует учитывать, что частота положительных результатов посева экссудата варьирует в широких пределах и во многом определяется характером инфекционного агента, вызвавшего воспаление плевры (табл. 6.4).
В тех случаях, когда возбудителя экссудативного плеврита выделить не удается, при назначении антибактериальной терапии приходится ориентироваться на особенности клинической картины заболевания и оценке эффективности эмпирически назначенных антибиотиков.
При осложненном экссудативном плеврите в результате выраженного воспаления висцерального и париетального листков плевры на них откладывается фибрин, что способствует развитию спаечного процесса и образованию осумкованного плеврита.
Гнойный парапневмонический плеврит (эмпиема плевры)
отличается наиболее тяжелой клинической картиной. Для эмпиемы плевры характерно наличие гнойного экссудата, содержащего большое количество лейкоцитов (более 25 х 103
/мл) и бактерий, которые обычно хорошо выявляются при микроскопии и бактериологическом исследовании экссудата. Гнойный плеврит часто осложняется образованием выраженных спаек, осумкованием экссудата и организацией плевральной полости с образованием фиброторакса.
Более подробное описание клинической картины гнойного плеврита приведено ниже.
Эмпиема плевры
Эмпиема плевры (гнойный плеврит, или пиоторакс) — это ограниченное или распространенное воспаление плевры, сопровождающееся накоплением гноя в плевральной полости, появлением признаков гнойной интоксикации и нарастающей дыхательной недостаточности (рис. 34).
Эмпиему плевры выделяют как особую самостоятельную форму экссудативного плеврита, поскольку клиническая картина и прогноз этого заболевания отличаются существенными особенностями, а ведение больных с гнойным плевритом требует обязательного интенсивного местного лечения, причем, как правило, в условиях хирургического стационара (Г.Л. Лукомский, 1976)
Рис. 34
. Эмпиема плевры.
Показано образование плевро-пульмонального и плевро-торакального свищей.

Следует подчеркнуть, что за рубежом многие исследователи включают в понятие «эмпиема плевры» все случаи не только гнойного, но и осложненных парапневмонических выпотов, если при микробиологическом исследовании экссудата в нем обнаруживаются микроорганизмы — возбудители экссудативного плеврита. Такой подход, вероятно, не вполне оправдан, поскольку наличие инфицированного экссудата вовсе не свидетельствует об обязательной трансформации патологического воспалительного процесса в эмпиему плевры.
Этиология.
В большинстве случаев (около 80-85%) эмпиема плевры является осложнением пневмоний
и гнойно-деструктивных заболеваний легких
(абсцесс, гангрена легкого). В настоящее время частота возникновения эмпиемы плевры у больных пневмониями достигает 5%, у пациентов с абсцессом легкого — 10%, а у больных с гангреной легкого - 90-100%.
Более редкими причинами эмпиемы плевры являются ранения и операции па органах дыхания, а также острые воспалительные заболевания органов брюшной полости (поддиафрагмальный абсцесс) и забрюшинного пространства.
Эмпиема плевры может возникнуть также в результате гематогенного распространения инфекции у больных с внеторакалыной локализацией инфекционного очага (остеомиелит, отит, абсцесс и флегмоны различных органов и тканей), при туберкулезе, тифе, паразитарных заболеваниях, сепсисе.
Следует иметь в виду возможность возникновения эмпиемы плевры при проведении торакоцентеза по поводу плеврального выпота или после пункции подключичной вены в связи с нарушением целостности листков плевры. В настоящее время подобные варианты возникновения эмпиемы плевры наблюдаются в исключительно редких случаях и связаны, как правило, с грубым нарушением техники этих манипуляций.
В настоящее время наиболее частыми возбудителями гнойных плевритов (до 70-80% всех случаев экссудативных плевритов) являются аэробные бактерии:
- Грамположительные {
Staphylococcus
aureus
,
Streptococcus
pyogenes
и др.);
- Грамотрицательные {
Klebsiella
spp
.,
Escherichia
coli
,
Haemophilus
influencae
,
Pseudo
monas
aeruginosa
и др.).
Нередко удается выявить их ассоциацию с анаэробными микроорганизмами: Prevotella
spp
.,
Fusobacterium
nucleatum
,
Bacterioides
spp
.,
Streptococcus
intermedius
и др.).
В 15-20% случаев, особенно у больных с аспирационной пневмонией или у пациентов, находящихся на ИВЛ, возбудителями эмпиемы являются исключительно анаэробы.
Клиническая картина.
Эмпиема плевры отличается особой тяжестью клинической картины, хотя в начале заболевания проявления эмпиемы часто маскируются симптомами пневмонии или другого патологического процесса в легких (лихорадка, боли в грудной клетке, кашель, симптомы умеренной интоксикации).
Однако уже через 2-3 дня состояние больного резко ухудшается. Появляются или или резко усиливаются боли в грудной клетке плеврального характера. Температура тела повышается до 39-40°С, причём лихорадка приобретает гектический характер с суточными колебаниями температуры тела более 2°С. Лихорадка, как правило, сопровождается потрясающими ознобами. Быстро нарастают одышка и симптомы выраженной гнойной интоксикацией.
Боли усиливаются еще больше и становятся практически постоянными при переходе гнойного воспалительного процесса на ткани грудной стенки и угрозе формирования плевроторакального свища. В этих случаях в аксиллярной области можно обнаружить значительную припухлость и определить флюктуацию.
Если возникает прорыв эмпиемы плевры в бронхи и формирование бронхоплеврального свища, у больного внезапно усиливается кашель с отделением большого количества гнойной мокроты, часто с примесью крови. В этих случаях кашель и отделение мокроты усиливаются при положении больного на «здоровом боку».
При физикальном
и рентгенологическом
исследовании у пациентов с эмпиемой плевры выявляют
неспецифические признаки, указывающие па наличие плеврального выпота (см. выше). При объективном исследовании обращает па себя внимание нарастающий диффузный цианоз, выраженная потливость, тахипноэ, инспираторная одышка, тахикардия
В анализах крови
определяют высокий (до (15-20) х 109
/мл) лейкоцитоз, увеличение 50-60 мм/ч, сдвиг формулы крови влево вплоть до появления признаков лейкемоидной реакции.
Наиболее характерными клиническими признаками, заставляющими заподозрить развитие эмпиемы плевры, являются:
- усиление или появление интенсивных болей в грудной клетке плеврального характера, особенно при переходе гнойного процесса на грудную стенку;
- лихорадка гектического типа с повышением температуры тела до 39-40°С, суточными коле-баниями более 2°С и профузными потами;
- быстрое нарастание симптомов выраженной гнойной интоксикации;
- значительный лейкоцитоз ((15 _
20) х 109
/мл и выше) и сдвиг формулы крови влево, возможна лейкемоидная реакция.
Диагноз эмпиемы плевры в большинстве случаев устанавливают при исследовании рольного содержимого.
При торакоцентезе получают гной, часто с примесью крови. Гнойный экссудат, прежде всего, отличается большим содержанием клеток (до 100 и более в поле зрения), из которых более 85% приходится на нейтрофилы. Относительная плотность превышает 1,030. Гнойный экссудат имеет кислую реакцию (рН < 7,1). Уровень глюкозы снижен (< 1,6 ммоль/л), а активность ЛДГ повышена (> 5,5 ммоль/л х ч), преимущественно за счет активности ЛДГ5.
Гнойный экссудат — вязкий, мутный, имеет различную окраску в зависимости от возбудителя: при пневмококковой и стафилококковой инфекции гной желтоватого цвета, при стрептококковой — имеет сероватый оттенок. Если возбудителем эмпиемы являются анаэробные бактерии, гнилостный экссудат имеет грязно-серый оттенок и резкий неприятный запах.
Бактериологическое исследование гнойного экссудата в большинстве случаев позволяет установить возбудителя эмпиемы и его чувствительность к антибиотикам.
В неясных и тяжелых случаях необходимо проведение торакоскопии
и прицельной биопсии с последующим гистологическим исследованием биоптатов с целью уточнения характера и распространенности поражения и установления этиологии заболевания (туберкулез, опухоль, острое гнойное воспаление и др.). Торакоскопию обязательно сочетают с дренированием плевральной полости, отсасыванием плеврального содержимого под визуальным контролем и промыванием полости антисептическими растворами.
Исходы острой эмпиемы
плевры во многом определяются характером и течением основного заболевания, распространенностью гнойного воспаления плевры, адекватностью и своевременностью лечения эмпиемы. Одним из неблагоприятных исходов заболевания является переход острого гнойного плеврита в хроническую эмпиему плевры.
В этих случаях в плевральной полости образуется гнойный мешок с утолщенными плотными стенками, состоящими преимущественно из рубцовой соединительной ткани, бедной сосудами. В связи с этим резко нарушается всасывание гнойного экссудата, что способствует длительному персистированию гнойного очага, во многом определяющего клиническую картину этого осложнения. Основной причиной перехода заболевания в хроническую стадию является позднее и неполноценное дренирование острой эмпиемы плевры, образование выраженных плевральных спаек, затрудняющих адекватное расправление коллабированного легкого.
Кроме того, для гнойного плеврита характерна склонность к облитерации плевральной полости и образованию фиброторакса
(рис. 35). При осмотре такого больного отмечается уменьшение в объеме половины грудной клетки па стороне поражения, отставание ее в акте дыхания, притупление перкуторного звука, ослабление дыхания, голосового дрожания и бронхофонии. На рентгенограмме в прямой проекции хорошо заметно уменьшение в объеме соответствующей половины грудной клетки и выраженные плевральные сращения.
Рис. 35.
Внешний вид больного с левосторонним фибротораксом после перенесенной эмпиемы плевры (наблюдение Г.Р.Рубинштейна, 1954).

Туберкулезный плеврит
Туберкулезный плеврит — это одна из клинических форм туберкулеза, которая либо осложняет течение других клинических форм этого заболевания, либо (в более редких случаях) представляет собой самостоятельную первичную форму туберкулеза органов дыхания. Туберкулезный плеврит развивается в результате специфического гранулематозного воспалительного процесса в плевральных листках, развивающегося при лимфогенной или гематогенной диссеминации микобактерий туберкулеза.
Туберкулез является одной из наиболее частых причин как фибринозного (сухого), так и экссудативного плеврита. На его долю приходится от 29% до 85% всех случаев воспаления плевры. Особенно часто туберкулезная этиология плеврита подтверждается у детей (66%) и у молодых лиц в возрасте до 39 лет (75%), тогда как у больных старше 60 лет туберкулез является причиной плеврита только в 25% случаев (Backman A., Pasila M.; Hein E., Engel ].,
Н.С. Тюхтин). При этом следует учитывать зависимость частоты туберкулезной этиологии плеврита от эпидемиологической обстановки, в которой развилось заболевание. Например, у больных плевритом, длительное время пребывавших в закрытых коллективах (тюрьмах, домах престарелых и т.п.), туберкулез является главной причиной поражения плевры, независимо от возраста пациента.
Туберкулез является наиболее частой причиной фибринозного (сухого) и экссудативного плеврита у детей, лиц молодого возраста и больных, длительно пребывавших в закрытых коллективах (тюрьмах, домах престарелых и т.п.).
Патогенез.
Туберкулезный плеврит развивается в результате обсеменения листков плевры микобактериями туберкулеза и формирования специфического гранулематозного воспаления плевры в виде образования на плевральных листках различного размера туберкулезных бугорков, имеющих тенденцию к казеозному расплавлению. При этом наибольшее значение имеет поражение париетальной плевры, которое ведет к значительной экссудации и ограничению реабсорбции плевральной жидкости.
Важная роль в патогенезе туберкулезных плевритов принадлежит индивидуальной реактивности больного, в частности местной гиперергшеской реакции
листков плевры, сенсибилизированных туберкулезным токсином, что приводит к выраженному аллергическому воспалению плевры. В некоторых случаях такая гиперергическая реакция носит генерализованный характер и сопровождается развитием полиартрита, узловатой эритемы и т.д.
Выделяют несколько путей распространения туберкулезной инфекции на листки плевры.
- Лимфогенная диссеминация
считается ведущим путем распространения микобактерий туберкулеза. Наиболее важным резервуаром инфекции являются внутригруд-ные лимфатические узлы, откуда по лимфатическим сосудам инфекция попадает в листки плевры (рис. 36, а).
- Контактный путь
распространения возбудителя с образованием перифокального воспаления плевры (так называемого «перифокального плеврита») развивается обычно при субплевральной локализации легочного процесса. При этом достаточно выраженная экссудация возникает, как правило, при поражении париетальной плевры, тогда как вовлечение в процесс только висцерального листка чаще приводит к возникновению лишь локального фибринозного (сухого) плеврита (рис. 36, б).
- Гематогенная диссеминация
имеет, по-видимому, небольшое значение при формировании туберкулезного плеврита.
- Прорыв в полость плевры
казеозного фокуса, локализующегося в кортикальном отделе легких, с развитием туберкулезной эмпиемы плевры. Этот механизм поражения плевры достаточно редко встречается в клинической практике (рис. 36, в). Следует добавить, что при туберкулезе плевры с момента инфицирования плевры до первых клинических симптомов болезни обычно проходит длительный период — не менее 3-4-х месяцев.
Туберкулезный плеврит развивается в результате обсеменения листков плевры микобактериями туберкулеза. Важнейшим путем распространения инфекции является лимфогенный, тогда как гематогенная диссеминация, перифокальное воспаление или прорыв казеозного легочного очага в плевру встречается в более редких случаях. Важнейшим компонентом воспаления плевры при туберкулезе является выраженная гиперергическая реакция сенсибилизированных плевральных листков, которая у части больных обуславливает «бурную» клиническую картину аллергического воспаления плевры.
Рис. 36.
Пути распространения туберкулезной инфекции на листки плевры:
а - лимфогенная диссеминация из внутригрудных лимфатических узлов;
6 - контактный путь при наличии поверхностно расположенных очагов туберкулезной инфильтрации;
в - прорыв в полость плевры казеозного фокуса

Клиническая картина
туберкулезного плеврита определяется преобладающими механизмами и распространенностью диссеминации плевры, индивидуальной реактивностью организма, наличием и выраженностью аллергического компонента воспаления плевральных листков и другими факторами.
Фибринозный (сухой) плеврит
часто сопутствует другим клиническим проявлениям туберкулеза, нередко оказываясь лишь начальной стадией формирующегося туберкулезного экссудативного плеврита (см. ниже).
Однако в некоторых случаях, особенно у молодых лиц, сухой плеврит может быть единственным клиническим проявлением туберкулезного поражения органов дыхания. Такой клинический вариант плеврита развивается как следствие ограниченного поражения плевральных листков, не сопровождающегося сколько-нибудь значимой экссудацией
Имеет значение также реакция плевры, сенсибилизированной микобактериями и туберкулезным токсином, источником которых являются первичные очаги туберкулезной инфекции в лимфатических узлах легких и средостения, поражение которых при клиническом и рентгенологическом исследовании больного выявляется далеко не всегда.
Заболевание обычно провоцируется переохлаждением, респираторной вирусной инфекцией, выраженным переутомлением, стрессом и т.п. Начало заболевания чаще постепенное, реже — острое. В клинической картине преобладает болевой синдром. Отмечается небольшая субфебрильная температура тела и умеренные признаки интоксикации, болезненный кашель. Наиболее специфичным клиническим симптомом сухого плеврита является шум трения плевры, выявляемый при аускультации легких.
В большинстве случаев под влиянием неспецифического противовоспалительного лечения сравнительно быстро (в течение 1-3 недель) происходит стабилизация воспалительного процесса в плевре, и клинические признаки плеврита претерпевают обратное развитие. Частым исходом заболевания являются плевральные сращения (спайки).
Следует подчеркнуть, что в отсутствие других проявлений туберкулеза установить этиологию описанного клинического варианта сухого плеврита оказывается довольно сложно. При этом следует ориентироваться па молодой возраст больного, наличие анамнестических указаний на имевшийся в прошлом контакт с больным туберкулезом, на отсутствие других причин поражения плевры (например, плевропневмонии), а также склонность к рецидивам болевого синдрома и субфебрилитета. Решающим в подтверждении туберкулезной этиологии сухого плеврита являются результаты туберкулиновых проб и других иммунологических тестов, подробно описанных в специальных руководствах по туберкулезу.
Экссудативный плеврит.
В большинстве случаев заболевание начинается остро с высокой лихорадки (до 38-39°С), резких болей в грудной клетке, связанных с актом дыхания, болезненного кашля, симптомов интоксикации. Вскоре боли стихают, появляется чувство тяжести в пораженной половине грудной клетки и одышка. Сохраняются высокая температура и интоксикация. При физикальном исследовании определяют перкуторные и аускультативные признаки плеврального выпота, что подтверждается при рентгенографии.
Острое начало экссудативного плеврита во многом связано с гиперергической реакцией плевры, сенсибилизированной к туберкулезному токсину, что следует учитывать при назначении соответствующей терапии.
Подострое начало экссудативного плеврита наблюдается примерно у трети больных. В первые дни заболевания болевой синдром не столь интенсивен, температура тела повышается постепенно, достигая 38,0-38,5°С. Через 5-7 дней появляется одышка, нарастают симптомы интоксикации, а при физикальном и рентгенологическом исследовании определяется плевральный выпот.
Еще реже заболевание начинается постепенно. В течение 2-3 недель или даже 1-2 месяцев нарастают явления интоксикации: слабость, снижение работоспособности, выраженная потливость, снижение аппетита. На этом фоне появляются нерезкие боли в грудной клетке, сухой кашель, небольшое повышение температуры тела. Постепенно состояние больного ухудшается, температура достигает фибрильных цифр, появляется одышка и другие симптомы, характерные для типичной клинической картины экссудативного плеврита.
Течение туберкулезного экссудативного плеврита характеризуется частыми рецидивами и образованием выраженных плевральных спаек, нарушающих механику дыхания и способствующих осумкованию экссудата.
В анализах крови у больных туберкулезным плевритом чаще определяется нормальное число лейкоцитов и небольшое увеличение СОЭ. Выраженный нейтрофильный лейкоцитоз со сдвигом формулы крови влево и значительное увеличение СОЭ характерно для формирования гнойного туберкулезного плеврита (эмпиемы плевры).
В большинстве случаев плевральный выпот носит характер серозного экссудата. Реже встречается эозинофильный или серозно-геморрагический экссудат. Плевральный выпот содержит большое количество лимфоцитов, иногда — эозипофилов. Количество клеток мезотелия резко снижено, а в 80% случаев они отсутствуют совсем.
Следует подчеркнуть, что при бактериологическом исследовании экссудата микобактерии туберкулеза выявляются не более чем у 10-40% больных, в то время как в биоптатах париетальной плевры, полученных при торакоскопии, диагноз туберкулеза подтверждается в 75% случаев (А. Г. Хоменко).
При торакоскопии выявляется диффузная гиперемия и утолщение плевральных листков, на поверхности которых заметны бугорки различных размеров (рис. 37), а также плевральные сращения (спайки).
Рис. 37.
Торакоскопическая картина туберкулезного поражения плевры.

Для туберкулезного экссудативного плеврита наиболее характерны следующие клинические особенности:
- течение заболевания характеризуется частыми рецидивами плеврита и образованием выраженных плевральных спаек;
- в анализах крови чаще определяется нормальное число лейкоцитов и небольшое увеличение СОЭ.
- плевральный выпот обычно носит характер серозного, эозинофильного или серозно-геморрагического экссудата;
- в экссудате определяется большое количество лимфоцитов, а клетки мезотелия отсутствуют или их число резко снижено;
- в туберкулезном экссудате в большинстве случаев не удается выявить микобактерии туберкулеза;
- решающим в диагностике туберкулезной этиологии поражения плевры являются результаты торакоскопии, биопсии плевры и туберкулиновых проб.
Эмпиема плевры.
Туберкулезная эмпиема плевры развивается при прорыве в плевральную полость казеозного очага, расположенного в кортикальном слое легкого, или в результате распространенного казеозного некроза в самой плевре.
Наиболее характерна выраженная интоксикация, профузные поты по ночам, лихорадка, боли в грудной клетке, нарастающие признаки дыхательной недостаточности.
В отличие от туберкулезного экссудативного плеврита, при эмпиеме плевры в крови определяется выраженный лейкоцитоз, значительное увеличение СОЭ.
Экссудат приобретает гнойный характер. В нем преобладают нейтрофилы, отсутствуют клетки мезотелия, значительно снижена концентрация глюкозы и рН выпота. При бактериологическом исследовании в экссудате выявляются микобактерии туберкулеза.
Течение туберкулезной эмпиемы плевры осложняется развитием бронхоплеврального или торакального свища, формированием хронической эмпиемы плевры, образованием плевральных спаек, фиброторакса, прогрессированием дыхательной недостаточности и т.п.
Опухолевые плевральные выпоты
В общей структуре плевральных выпотов доля выпотов опухолевой природы составляет 15-22% (Light R.W., 1986; Н.С. Тюхтин, 1984). Наиболее частыми причинами поражения плевры являются:
- центральный и (реже) периферический рак легкого (в 72% всех опухолевых выпотов);
- рак молочной железы; . рак матки и яичников;
- мезотелиома плевры;
- рак желудочно-кишечного тракта;
- канцероматоз легких и плевры при неустановленном источнике метастазирования;
- злокачественная лимфома и др.
При опухолевом (метастатическом) поражении листков плевры значительно увеличивается проницаемость сосудов, что способствует усиленной экссудации жидкости и белка в плевральную полость. Кроме того, поражение лимфатических узлов легких и средостения, а также обструкция лимфатических сосудов плевры и субплеврального пространства приводят к нарушению оттока лимфы из плевры и снижению резорбции плевральной жидкости. В некоторых случаях наблюдается обструкция грудного лимфатического протока, что ведет к возникновению хилоторакса.
Клиническая картина опухолевых выпотов характеризуется постепенным накоплением жидкости в полости плевры. Обычно на первый план выступают симптомы раковой интоксикации и проявления первичной локализации опухоли. Больные отмечают нарастающую слабость, похудание, потерю аппетита, субфебрильную температуру, одышку, кашель, иногда кровохарканье. Появление плеврального выпота еще больше усугубляет клиническую картину заболевания и ведет к прогрессированию дыхательной недостаточности.
При плевральной пункции у 75-80% больных получают серозный экссудат, а в остальных случаях — серозно-геморрагический или геморрагический. Плевральная жидкость содержит большое количество белка и клеток мезотелия. Концентрация глюкозы и рН выпота резко снижены. Опухолевые клетки в плевральном содержимом обнаруживают в 20-25% случаев, что является абсолютным подтверждением опухолевой природы поражения плевры (Н.С. Тюхтин). В остальных случаях, подозрительных на наличие опухолевого процесса, необходимо проведение торакоскопии и биопсии париетальной плевры, что в большинстве случаев позволяет установить правильный диагноз.
Независимо от результатов исследования плеврального содержимого, торакоскопии и биопсии плевры, выявление первичного очага опухолевого процесса в легких или других внутренних органах с помощью лучевых и других методов диагностики дает возможность сделать заключение о метастатическом
поражении плевры и опухолевой природе плеврального выпота.
В то же время следует помнить о возможности развития первичного опухолевого процесса в плевре при злокачественной мезотелиоме,
клиническая картина которой отличается некоторыми особенностями. Мезотелиома проявляется, прежде всего, местными симптомами, связанными с поражением плевры и прорастанием опухоли в близлежащие органы, тогда как общие симптомы интоксикации (слабость, похудание, анорексия, повышение температуры тела и другие) отступают на второй план.
Больных злокачественной мезотелиомой беспокоят постепенно нарастающие и почти постоянные боли в грудной клетке, не связанные с актом дыхания. Отмечаются также приступы сухого кашля и одышка. Эти клинические симптомы связаны с постепенным разрастанием опухоли по плевре, сдавлением легкого и формированием компрессионного ателектаза. Одним из наиболее ранних и постоянных признаков мезотелиомы является плевральный выпот. В части случаев наблюдается прорастание опухоли в перикард и полости сердца, что сопровождается развитием экссудативного перикардита, быстрым прогрессированием сердечной недостаточности и тяжелыми нарушениями ритма сердца. Разрастанием опухоли объясняется нередко возникающий синдром сдавления верхней полой вены.
При рентгенологическом исследовании определяется тень плеврального выпота и значительное утолщение париетальной и висцеральной плевры с бугристой внутренней поверхностью.
Плевральный выпот носит характер серозно-геморрагического или геморрагического экссудата, отличающегося значительной вязкостью, что обусловлено большим содержанием в плевральной жидкости гиалуроновой кислоты. Отмечается также значительное снижение концентрации глюкозы и рН выпота.
Опухолевые клетки в плевральной жидкости обнаруживают лишь у 20-30% больных мезотелиомой. В большинстве случаев верификация диагноза становится возможной после проведения торакоскопии и биопсии париетальной плевры.
Плевральный выпот при аллергических и аутоиммунных заболеваниях и синдромах
Многие аллергические и аутоиммунные заболевания и синдромы могут сопровождаться развитием неинфекционного (асептического) воспалительного процесса в плевре и образованием плеврального выпота, который носит характер экссудата. Таким образом, формируются аллергические и аутоиммунные экссудативные плевриты неиифекционного генеза.
Экссудативный плеврит при постинфарктном синдроме Дресслера
является наиболее типичным примером аутоиммунного механизма образования плеврального выпота. Напомним, что синдром Дресслера развивается у части больных инфарктом миокарда на 2-6 неделе от начала заболевания и включает в себя типичную триаду — перикардит, плеврит, пневмонит.
Плеврит может быть как двусторонним, так и односторонним. В начале возникновения этого осложнения появляются боли в грудной клетке, усиливающиеся при дыхании, выслушивается шум трения плевры. Когда в полости плевры накапливается экссудат, боли прекращаются, и шум трения плевры не выслушивается. При объективном исследовании может определяться небольшое притупление перкуторного звука и ослабление дыхания па стороне поражения. Диагноз плеврального выпота подтверждается при рентгенологическом исследовании. В части случаев наблюдается небольшой лейкоцитоз и увеличивается СОЭ.
Плевральный выпот носит характер серозного или серозно-геморрагического экссудата лимфоцитарного или нейтрофильно-лимфоцитарного состава.
Под влиянием терапии глюкокортикоидами и НПВП экссудат рассасывается в большинстве случаев в течение 1-2 недель, хотя в отдельных случаях этот процесс затягиваетсяна несколько месяцев.
Экссудативные плевриты при системных заболеваниях соединительной ткани.
Поражение плевры может возникнуть при любом системном заболевании соединительной ткани. Однако наиболее часто (в 40-50% случаев) экссудативный плеврит развивается у больных системной красной волчанкой (СКВ),
причем у части из них поражение плевры может явиться первым клиническим проявлением заболевания.
В большинстве случаев имеется двустороннее поражение плевры. Экссудат носит серозный характер, в нем содержится большое количество лимфоцитов. При биопсии плевры обнаруживают неспецифические признаки хронического воспаления и фиброза, ведущих к утолщению листков плевры. Природу выпотного плеврита устанавливают при обнаружении клинико-лабораторных признаков СКВ, в частности противоядерных антител и LE-клеток. Следует помнить, что выпотной плеврит при СКВ хорошо поддается терапии глюкокортикоидами, что может служить даже дифференциально-иагностическим признаком.
При ревматоидном артрите (РА)
экссудативный плеврит развивается в 4-5% случаев. Нередко он носит рецидивирующий характер, плохо поддается терапии глюкокортикоидами и сопровождается образованием массивных плевральных спаек. В экссудате преобладают лимфоциты и мезотелиальные клетки, значительно снижена концентрация глюкозы и повышены титры ревматоидного фактора. При торакоскопии и пункционной биопсии выявляются признаки хронического воспаления, фиброза и васкулита.
Экссудативный плеврит при ревматизме
выявляется в 2-3% случаев, часто сочетаясь артритом, перикардитом, миокардитом и эндокардитом аутоиммунного происхождения. Серозный экссудат содержит большое количество лимфоцитов и мезотелиальных клеток. При торакоскопии и биопсии плевры, так же как и при СКВ и РА, определяют хроническое воспаление и фиброз плевральных листков.
Экссудотивные плевриты при системных заболеваниях соединительной ткани характеризуются следующими особенностями:
- плевральный выпот носит характер серозного экссудата с высоким содержанием лимфоцитов и клеток мезотелия;
- при СКВ в экссудате можно обнаружить противоядерные антитела и LE-клетки, а при РА — высокие титры ревматоидного фактора;
- при торакоскопии и пункционной биопсии обычно обнаруживают признаки хронического воспаления и фиброза, тогда как специфические маркеры этих заболеваний (ревматоидные или ревматические узелки, типичная картина волчаночного васкулита и др.) выявляются крайне редко;
- в большинстве случаев природа плеврального выпота устанавливается на основании оценки всех, в том числе — внеплевральных, клинических проявлений заболевания и при исключении других возможных причин выпота (опухоль, инфекция и др.)
Панкреатогенный (ферментогенный) плевральный выпот
Папкреатогенный плевральный выпот обнаруживается примерно у 20-30% больных с острым или обострением хронического панкреатита (B.C. Савельев, 1983). Он развивается вследствие раздражающего действия панкреатических ферментов, проникающих в плевральную полость по лимфатическим сосудам через диафрагму. Благодаря близкому взаимному расположению хвоста поджелудочной железы и левого купола диафрагмы чаще встречается левосторонний плевральный выпот (рис. 38).
Рис. 38.
Близкое расположение хвоста поджелудочной железы и левого купола диафрагмы, объясняющее частое возникновение левостороннего плеврального выпота при поражении поджелудочной железы.

При плевральной пункции получают серозный или серозно-геморрагический экссудат с высоким содержанием амилазы,
концентрация которой превышает таковую в сыворотке крови.
Панкреатогенный экссудативный плеврит нередко выявляется только при рентгенологическом исследовании и имеет наклонность к рецидивированию.
Уремический плевральный выпот
При уремии плевральный выпот обусловлен раздражающим действием азотистых шлаков (мочевины, креатинина и др.), в большом количестве выделяющихся серозными оболочками и вызывающих их асептическое воспаление (плеврит, перикардит и т.д.). В плевральной полости накапливается серозно-фибринозный или геморрагический экссудат с небольшим количеством клеточных элементов и повышенным содержанием креатинина. Обычно прогностическое значение уремического плеврита, так же как и перикардита, весьма серьезное, и его появление свидетельствует о терминальной стадии почечной недостаточности.
Посттравматический плеврит
Механическая закрытая травма грудной клетки может сопровождаться развитием экссудативного плеврита, возникающего через несколько дней после травмы. У больных появляются боли в грудной клетке, связанные с дыханием, слабость, потливость, повышается температура тела. В анализах крови определяется небольшой лейкоцитоз и увеличение СОЭ.
Во время пункции плевральной полости в большинстве случаев получают геморраги
ческий экссудат
с высоким содержанием белка (более до 40-50 г/л), высокой относительной плотностью. В экссудате преобладают лимфоциты, количество мезотелиальных клеток понижено. В начале заболевания экссудат, как правило, стерилен. Однако, если профилактически не проводится рациональная антибактериальная терапия, экссудат может инфицироваться, и заболевание приобретает характер бактериального экссудативного плеврита.
В отдельных случаях возможно образование гнойного плеврита (эмпиемы плевры).
Плевральные выпоты невоспалительного генеза
Застойный плевральный выпот (гидроторакс)
Застойный плевральный выпот (гидроторакс) возникает у больных с правожелудочковой и бивентрикулярной сердечной недостаточностью. Он обусловлен повышением гидростатического давления преимущественно в венозном русле большого круга кровообращения, что создает условия для повышения продукции и нарушения резорбции плевральной жидкости. Чаще наблюдается правосторонний плевральный выпот.
Клиническая картина характерна для больных с сердечной недостаточностью (одышка, отеки нижних конечностей, увеличение печени, цианоз, асцит и т.п.). Появление плеврального выпота у больных с сердечной недостаточностью обычно ассоциируется с тяжелым течением заболевания. В то же время значительный его объем, сопровождающийся коллабированием легкого, приводит к усугублению дыхательной недостаточности и усилению одышки.
При плевральной пункции в большинстве случаев (около 85%) получают серозный транссудат, хотя в ряде случаев возможно появление серозно-геморрагического и геморрагического выпота. Во всех случаях, относительная плотность плеврального выпота меньше 1,015, а содержание белка — меньше 30 г/л. Характерны также низкая активность ЛДГ (< 1,6 ммоль/л х ч, небольшой коэффициент «ЛДГ выпота/ЛДГ сыворотки» (< 0,6) и высокие значения отношения «глюкоза выпота/глюкоза сыворотки» (> 1,0). При микроскопии осадка определяется большое количество лимфоцитов и клеток мезотелия.
Следует добавить, что застойный плевральный выпот по понятным причинам не сопровождается болевым синдромом и не приводит к образованию плевральных сращений.
Плевральный выпот при тромбоэмболии легочной артерии (ТЭЛА)
При тромбоэмболии легочной артерии (ТЭЛА) плевральный выпот может быть обусловлен несколькими причинами. При массивной ТЭЛА, сопровождающейся развитием острого легочного сердца и правожелудочковой недостаточности, причиной плеврального выпота является остро возникшее повышение гидростатического давления в венозном русле большого круга кровообращения. В этих случаях плевральный выпот представляет собой типичный транссудат.
Если у больных с ТЭЛА развивается инфаркт легкого и инфарктная пневмония, плевральный выпот может носить характер экссудата,
нередко геморрагического.
Таким образом, в каждом конкретном случае следует уточнять преобладающие механизмы образования плеврального выпота.
Плевральный выпот при уменьшении коллоидно-осмотического давления крови
Уменьшение коллоидно-осмотического давления крови, обусловленное гипопротеинемией, может сопровождаться развитием выраженного отечного синдрома в виде распространенных отеков подкожно-жировой клетчатки и водянки полостей (асцита, гидроторакса, гидроперикарда и т.д.). Наиболее частыми причинами гипопротеинемии являются нефротический синдром и заболевания печени с нарушением ее белковосинтетической функции, например циррозы печени.
В этих случаях плевральный выпот представляет собой транссудат
с низкой относительной плотностью и содержанием белка. Выпот развивается постепенно и обычно маскируется другими симптомами основного заболевания. При значительных объемах выпота появляется и нарастает дыхательная недостаточность.
Хилезный плевральный выпот (хилоторакс)
Хилезный плевральный выпот — это скопление в плевральной полости лимфы,
возникающее при сдавлении грудного лимфатического протока
и вен средостения опухолью, увеличенными лимфатическими узлами или при механическом повреждении протока во время операций на пищеводе, легком, аорте, а также при травмах грудной клетки.
Заболевание, как правило, развивается остро. В плевральной полости быстро накапливается значительное количество лимфы, происходит сдавление легкого (компрессионный ателектаз) и развивается одышка, в пораженной половине грудной клетки появляется ощущение тяжести. Результаты физикального и рентгенологического исследования позволяют выявить плевральный выпот, характер которого распознают с помощью анализа результатов торакоцентеза.
Хилезный выпот представляет собой мутную беловатую непрозрачную жидкость без запаха, напоминающую по виду молоко вследствие большого содержания жира. При биохимическом анализе в плевральном содержимом определяют большое количество нейтрального жира (триглицеридов), жирных кислот и хиломикронов. Концентрация триглицеридов превышает 1,1 г/л.
При длительном существовании хилоторакса и частых плевральных пункциях больной теряет с лимфой большое количество белка, жиров, клеток крови, электролитов, в связи с чем постепенно нарастает слабость, уменьшается работоспособность, снижается масса тела, развиваются интеркуррентные инфекции.
Хилусоподобный плевральный выпот
Хилусоподобный плевральный выпот по виду напоминает таковой при «истинном» хилотораксе. Это мутная непрозрачная беловатая жидкость с высоким содержанием липидов. Однако в отличие от хилоторакса, в хилусоподобном выпоте содержится большое количество холестерина, тогда как концентрация триглицеридов — ниже 1,1 г/л, а хиломикроны не обнаруживаются вообще.
Таким образом, хилусоподобный плевральный выпот (также как и хилезный) содержит сравнительно большое количество жира, который и придает плевральной жидкости своеобразный внешний вид. Однако, в отличие от хилезного выпота, жир появляется в плевральном содержимом не за счет примеси лимфы и повреждения грудного лимфатического протока, а благодаря распаду клеток, претерпевающих жировое перерождение, что чаще наблюдается при хроническом воспалении серозных оболочек и длительном (не менее 3-5 лет) нахождении в плевральной полости экссудата (Н.С. Тюхтин). Такая ситуация может возникнуть (правда, достаточно редко) при туберкулезе или ревматоидном артрите.
Интересно, что при добавлении к хилусоподобной плевральной жидкости 1-2 мл этилового эфира плевральная жидкость становится прозрачной, тогда как при «истинном» хилезном выпоте она остается мутной.
Лечение
Лечение больных с плевральным выпотом должно быть комплексным и включать медикаментозные и немедикаментозные воздействия как на причину болезни, так и на
основные звенья патогенеза и механизмы, определяющие ее клинические проявления. Результаты лечения во многом зависят от полноты диагностического поиска и правильного и адекватного соотношения общих и местных воздействий на патологический процесс.
Лечение плевральных выпотов, осложняющих течение самых разнообразных заболеваний внутренних органов, прежде всего, должно предусматривать адекватные терапевтические воздействия на основное заболевание (этиологическое лечение). Так, при плевральных выпотах невоспалительной природы (транссудатов)
этиологическое лечение направлено, прежде всего, на восстановление сердечной деятельности, функции печени, почек, щитовидной железы или коррекцию нарушений коллоидно-осмотического давления крови и т.п. У больных с воспалительными (асептическими) плевритами
неинфекционной природы необходимо адекватное лечение аллергических, аутоиммунных и других патологических процессов, лежащих в основе различных клинических проявлений этих заболеваний, в том числе плеврального выпота.
Особое место этиотропная терапия занимает в лечении многочисленных и наиболее распространенных в клинической практике плевритов инфекционного,
в первую очередь бактериального, генеза.
Ниже приведено описание основных принципов комплексного лечения именно этого вида плеврального выпота па примере ведения больных с парапневмоническим плевритом и эмпиемой плевры.
Эти принципы в полной мере могут быть использованы при лечении других воспалительных плевральных выпотов инфекционного генеза.
Этиотропное и патогенетическое лечение
Антибактериальная терапия
Антибактериальная терапия больных с парапневмотическим плевритом назначается с учетом выявленного возбудителя и его чувствительности к антибиотикам. Однако в реальной клинической практике лечение часто приходится начинать с эмпирического
назначения антибиотиков. При этом следует учитывать возможный спектр микроорганизмов — наиболее вероятных возбудителей заболевания в данном конкретном случае и клинико-эпидемиологические условия его возникновения (внебольничная, нозокомиальная, аспирационная пневмония, пневмония у больных, находящихся па ИВЛ и
т.п.).
Выше было показано, что в настоящее время наиболее частыми возбудителями парапневмонических плевритов, в том числе эмпиемы плевры, являются:
- аэробные
грамположительные {
Staphylococcus
aureus
,
Streptococcus
pyogenes
и др.) и грамотрицательные {
Klebsiella
spp
.,
Escherichia
coli
,
Haemophilus
influencae
,
Pseudo
monas
aeruginosa
и др.) бактерии;
- анаэробные
бактерии {Prevotella spp., Fusobacterium nucleatum, Bactenoides spp.,
Streptococcus intermedius
и др.).
Частой причиной возникновения парапневмонических плевритов являются полимикробные ассоциации
аэробных и анаэробных бактерий, которые путем аспирации попадают из ротовой полости в легочную ткань и оттуда лимфогенным или гематогенным путем — в плевральную полость. Причем все клинико-эпидемиологические факторы, способствующие возникновению микроаспирации (остаточные явления нарушения мозгового кровообращения, алкоголизм, эпилептические припадки, использование ИВЛ, наличие у больных сопутствующих бронхоэктазов, инфаркта легкого, обструкции дыхательных путей опухолью или инородным телом, дисфагии и т.п.), увеличивают риск полимикробных ассоциаций или инфицирования анаэробами.
В последние годы показаны существенные преимущества клиндамицина в лечении гнойных заболеваний органов дыхания (абсцесса легкого и эмпиемы плевры) по сравнению с пенициллинами. Клиндамицин, являющийся хлорпроизводным линкомиципа, рекомендуют для лечения анаэробных
инфекций различной тяжести, вызванных бактероидами и другой неспоробразующей и клостридиалыюй флорой, а также смешанных {аэробно-анаэробных)
инфекций. Кроме того, клиндамицин активен в отношении грамположительных стафилококков и стрептококков, за исключением энтерококков.
В тяжелых случаях клиндамицин назначается в комбинации с метронидазолом, также проявляющем высокую активность в отношении анаэробных грамположительных и грамотрицательных бактерий. Комбинация «клиндамицин + метропидазол» считается «золотым стандартом» лечения тяжелой анаэробной инфекции (10.Б.Белоусов, СМ. Шатунов).
Высокой активностью против анаэробов
обладают также:
- имипенем;
- хлорамфеникол;
- бета-лактамы в комбинации с ингибиторами бета-лактамаз.
При возникновении экссудативного плеврита на фоне нозокомиальной пневмонии
следует использовать антибактериальные препараты, обладающие расширенным спектром действия, в том числе влиянием на грамотрицательные бактерии и стафилококки. Так, грамотрицательные
бактерии чувствительны к ряду антибиотиков, в том числе к имипенему, цефалоспоринам II и III поколения и бета-лактамам в комбинации с ингибиторами бета-лактамаз. Хорошей активностью против метициллин-чувствительных стафилококков
обладают клиндамицин, синтетические пенициллины и цефалоспорины.
В большинстве случаев эмпирическую антибактериальную терапию
больных с парапневмоническим плевритом начинают с назначения следующих препаратов или их комбинаций:
- клиндамицин + цефалоспорины III поколения;
- бета-лактамы + ингибиторы бета-лактамаз;
- имипенем.
После получения результатов выделения возбудителя и определения его чувствительности к антибиотикам проводится коррекция терапии.
Следует также помнить, что аминогликозиды
обычно не назначают больным с экссудативиым плевритом, поскольку препараты этой группы антибиотиков плохо проникают в плевральную полость.
Дезинтоксикационная терапия
Дезинтоксикационная терапия, как правило, в сочетании с форсированным диурезом в той или иной степени показана всем больным с эмпиемой плевры и осложненным экссудативным плевритом. Терапия направлена на выведение из организма токсических веществ, улучшение реологических свойств крови и микроциркуляции, коррекции нарушений белкового обмена и устранение нередко возникающей при этой патологии гиповолемии.
С этой целью больным показаны внутривенные капельные инфузии изотопических растворов солей, 5-10% раствора глюкозы, а также низкомолекулярных растворов (гемодеза, неокомпенсана, реополиглюкина и др.). Форсированный диурез обеспечивается внутривенным введением 20-40 мг лазикса или других салуретиков и мочегонных.
Коррекция нарушений белкового обмена
С целью коррекции нарушений белкового обмена больным назначают полноценное питание с повышенным содержанием белка. В тяжелых случаях внутривенно несколько раз вводят 150 мл 10% раствора альбумина, 200-400 мл нативной плазмы, а также анаболические гормоны (ретаболил 1 раз в 10-14 дней).
Повышение общей резистентности организма
Важным компонентом лечения больных экссудативным плевритом и эмпиемой плевры является применение веществ, повышающих общую резистентность организма. С этой целью используют:
- средства экстракорпоральной детоксикации (ультрафиолетовое и лазерное облучение крови, гемосорбция, плазмаферез);
- внутримышечное введение поливалентного иммуноглобулина человека по 2,0 мл через 1-3 дня (всего 3-5 инъекций);
- при значительной недостаточности антителообразования — внутривенно или внутримышечно у-глобулип по 1,2-1,8 мг/кг массы тела (1 раз в месяц);
- внутривенные инфузии гипериммунной плазмы и бактериофагов (антистафилококковая плазма, антисинегнойная плазма, плазма с повышенным содержанием антител к протею и др.) по 200-250 мл 2-3 раза с интервалом в 3 дня;
- способы активной иммунизации, например введение стафилококкового анатоксина (3 инъекции по 0,5-1,0 анатоксина с интервалом в 2-3 дня);
- стимуляция Т-системы и неспецифических защитных сил организма (левамизол, тимизол, иммунал и др.).
Противовоспалительное и гипосенсибилизирующее лечение
В ряде случаев дополнительное применение гипосенсибилизирующих и противовоспалительных средств способствует уменьшению местного воспалительного процесса в плевре, коррекции повышенной проницаемости сосудов, уменьшению сенсибилизации плевры и устранению гиперергической реакции листков плевры на воздействие возбудителя заболевания.
С этой целью используют современные НПВП
(вольтарен, диклофенак, мовалис, пайс), а в ряде случаев, особенно при наличии «бурной» гиперергической реакции плевры, — глюкокортикостероиды
(преднизолон, метипред и др.) в дозе 30-40 мг в сутки (коротким курсом). При этом следует помнить, что гормоны при экссудативных плевритах всегда следует назначать с большой осторожностью и «под защитой» антибактериальных средств.
Местное лечение
Местное лечение парапневмонических экссудативных плевритов и эмпиемы плевры, наряду с адекватной антибактериальной терапией, является обязательным компонентом комплексного лечения больных с воспалительным плевральным выпотом. Местное лечение направлено на удаление гнойно-воспалительного экссудата, санацию плевральной полости, уменьшение плевральных сращений и недопущение облитерации полости плевры, максимальное расправление поджатого легкого и т.п. С этой целью проводятся:
- систематические плевральные пункции с аспирацией плеврального содержимого;
- промывание полости антисептическими растворами и введение антибиотиков;
- .введение в полость фибринолитических средств;
- установка в полости плевры дренажной трубки;
- проведение лечебной торакоскопии;
- проведение хирургической торакотомии;
- хирургическое удаление очага инфекции и ликвидация полости (декортикация и плеврэктомия, плевропневмонэктомия) и др.
Эвакуация плеврального содержимого с помощью повторных торакоцентезов
Эвакуация плеврального экссудата у больных с парапневмоническим плевритом вместе с санацией полости плевры и введением фибринолитических средств проводится для предотвращения развития эмпиемы плевры, устранения плевральных сращений и для купирования функциональных расстройств дыхания и сердечной деятельности, обусловленных спадением легкого.
При неосложненном
парапневмоническом плеврите в большинстве случаев достаточно одно-, двух- или трехкратного удаления экссудата с помощью плевральных пункций, назначения адекватной терапии антибиотиками и регулярного клинико-рентгенологического или ультразвукового контроля за динамикой объема плеврального выпота, степенью расправления легкого, функциональными показателями дыхания и сердечно-сосудистой системы.
При осложненном
парапневмоническом плеврите показано частое проведение торакоцентезов при помощи повторных плевральных пункций или установка дренажной трубки (см. ниже). Удаление жидкости из плевральной полости с помощью плевральных пункций
должно проводиться осторожно, не более 1,0 л одномоментно во избежание коллапса вследствие быстрого смещения органов средостения.
При сформировавшейся эмпиеме плевры
эвакуацию гнойного экссудата иногда также начинают с повторных (ежедневных)
плевральных пункций. Однако эффективность такого способа местного лечения эмпиемы обычно не превышает 60%. Предпочтительным в этих случаях является как можно более ранняя установка дренажной трубка,
особенно когда через 4-5 дней ежедневных плевральных пункций состояние больного не улучшается, сохраняется высокая лихорадка и признаки интоксикации. Лечение больных с эмпиемой плевры должно проводиться в специализированном хирургическом стационаре.
Эвакуация плеврального содержимого с помощью дренажной трубки
Гнойный характер плеврального выпота (эмпиема плевры)
является абсолютным показанием для установки дренажной трубки. При осложненном плеврите
введение дренажной трубки также является методом выбора, особенно если имеются признаки высокого риска развития эмпиемы (рН экссудата < 7,1 и концентрация глюкозы < 2,2 ммоль/л) или признаки формирования плевральных сращений и осумкования полости.
Установку дренажной трубки осуществляют под местной анестезией и под контролем рентгеноскопии или ультразвукового исследования. В VI межреберье по передней подмышечной линии делают разрез на коже. После дополнительной анестезии более глубоко расположенных тканей и париетальной плевры тонзиллярным зажимом создают канал в мягких тканях, через который осторожно вводят в плевральную полость проксимальный конец дренажной трубки, направляя ее кзади и вверх — к верхушке легкого (рис. 39). При этом дистальный конец трубки пережимают зажимом. После этого дренажную трубку фиксируют к коже двумя швами и присоединяют к вакуум-насосу. Последний обеспечивает сбор плеврального содержимого и поддержание отрицательного внутриплеврального давления (около 50-100 см вод. ст.).
Рис. 39.
Эвакуация плевральной жидкости с помощью дренажной трубки.

При наличии нескольких осумкованных полостей возникает необходимость установки нескольких дренажных трубок, хотя более эффективным в этих случаях является хирургическая торакотомия (см. ниже).
Правильно установленная дренажная трубка обеспечивает достаточно полную эвакуацию гноя из плевральной полости. При этом расправление коллабированного легкого и уменьшение коллоидно-осмотического давления плеврального содержимого за счет удаления гноя из полости плевры в большинстве случаев способствует стабилизации патологического процесса в плевре, улучшению крово- и лимфообращения и снижению патологической экссудации.
Санация плевральной полости
После эвакуации экссудата с помощью торакоцентеза или дренажной трубки обязательно проводят промывание плевральной полости
теплым раствором фурацилина (1:5000) или диоксидина (0,1-0,2%). Предложено несколько методик санации плевральной полости. Чаще антисептический раствор вводят шприцем в количестве 20-60 мл, меняя направление иглы так, чтобы струя раствора но возможности достигала различных участков плевры. После этого вновь аспирируют плевральную жидкость. Такое чередование введения антисептического раствора в полость плевры и его аспирации вместе с остатками экссудата повторяют несколько раз, пока не будет аспирироваться «почти чистая жидкость».
При значительной распространенности воспалительного поражения плевры для промывания плевральной полости используют методику санации «в две иглы»
(рис. 40). Под контролем рентгеноскопического или ультразвукового исследования пунктируют плевру у дна полости, а второй иглой — в верхнем ее отделе. Через нижнюю иглу полость постепенно заполняют антисептическим раствором. При этом воздух, если он присутствовал в полости, удаляется через верхнюю иглу, а антисептический раствор хорошо контактирует со стенками полости. После этого закрывают краник верхней иглы, а через нижнюю аспирируют жидкость. Процедуру повторяют несколько раз, причем для промывания полости используют около 4-5 л антисептического раствора.
Санацию плевральной полости при установленной в ней дренажной трубке осуществляют обычно через дополнительный полиэтиленовый катетер, введенный в полость в III—IV межреберье и соединенный с носимым дозатором лекарственных веществ. По катетеру антисептические растворы вводят в плевральную полость, а по дренажной трубке плевральная жидкость удаляется из полости.
Рис. 40.
Методика санации плевральной полости «в две иглы».

Введение фибринолитиков
После эвакуации
экссудата с помощью торакоцентеза или дренажной трубки и санации полости в нее инстилируют растворы фибринолитических препаратов,
под действием которых происходит растворение фибрина. Это способствует постепенному разрушению внутриплевральных сращений, снижению вязкости гнойного экссудата и раскрытию устьиц и люков между мезотелиальными клетками листков плевры. В результате более эффективным становится дренирование полости, улучшается резорбция плевральной жидкости листками плевры.
В качестве фибринолитических препаратов для инсталляции в полость плевры чаще используют стрептокиназу (250 000 ЕД) и урокиназу (100 000 ЕД). Фибринолитики вводят по дренажной трубке или специальному катетеру в 100 мл физиологического раствора, после чего дренажную трубку перекрывают на 2-3 ч. Инсталляцию фибринолитических препаратов проводят ежедневно в течение 1-2 недель. Было доказано почти полное отсутствие при таком способе введения этих препаратов системного фибриноли-тического эффекта.
В клинической практике широко используется также введение антибиотиков
в плевральную полость после удаления экссудата во время торакоцентеза или дренирования полоста плевры с помощью дренажной трубки. Тем не менее эффективность такого способа местного лечения до сих пор остается не доказанной.
Лечебная торакоскопия
Лечебная торакоскопия является минимально инвазивной хирургической манипуляцией. Она используется при неэффективности традиционного дренирования плевральной полости с помощью дренажных трубок и впутриплеврального введения фибринолитиков, наличии значительных плевральных сращений и формировании многокамерных гнойных полостей. Во время лечебной торакоскопии под визуальным контролем производят рассечение плевральных спаек, полностью удаляют весь гной, санируют гнойную полость и устанавливают дренажную трубку.
Оперативное вмешательство осуществляют в условиях операционной под общей анестезией. Техника лечебной торакоскопии соответствует таковой, описанной в разделе 6.3. (диагностическая торакоскопия). После разреза в IV-V межреберье по средне-подмышечной линии и дополнительной местной анестезии ткани тупо раздвигают и создают искусственный пневмоторакс, в результате которого легкое спадается. Это существенно облегчает визуализацию инфицированной полости и хирургическое разрушение плевральных спаек с помощью специальных щипцов, которые вводят через операционный канал торокоскопа или через второй дополнительный подкожный канал. Перед проведением этой хирургической манипуляции удаляют всю плевральную жидкость.
После окончания процедуры лечебной торакоскопии в плевральной полости устанавливают дренажную трубку, которую подсоединяют к вакуум-насосу. Дренирование продолжается 3-6 дней, после чего дренажную трубку удаляют при условии, что количество отделяемой через дренаж жидкости составляет не более 50 мл в сутки. В этот период необходим ежедневный рентгенологический контроль за положением дренажной трубки, количеством жидкости в плевральной полости и расправлением легкого.
Эффективность лечебной торакоскопии при эмпиеме плевры достигает 90%.
- Абсолютными противопоказаниями
для проведения лечебной торакоскопии являются:
- значительное уменьшение плеврального пространства за счет выраженных плевральных сращений и образования многокамерных полостей;
- выраженная дыхательная недостаточность, требующая проведения ИВЛ;
- выраженные нарушения свертываемости крови.
Кроме того, лечебная торакоскопия с особой осторожностью должна проводиться при наличии у больного неконтролируемого кашля, нестабильности сердечной деятельности и гипоксемии, обусловленной не наличием самого плеврального выпота, а сопутствующими заболеваниями легких и дыхательных путей.
Другие хирургические методы лечения эмпиемы плевры
Другие хирургические методы лечения эмпиемы плевры (хирургическая торакотомия, декортикация легкого, плеврэктомия, плевропневмонэктомия и др.) применяются:
- в случае неэффективности торакоскопического дренирования плевральной полости,
- при наличии организованных плевральных спаек в полости плевры;
- при многокамерном плевральном выпоте.
Во время хирургической торакотомш
осуществляется полное дренирование плевральной полости, удаляют плевральные сращения, после чего в полости устанавливают несколько дренажных трубок. Наконец, в самых тяжелых случаях и при невозможности проведения хирургической торакотомии осуществляют резекции ребра и последующее открытое дренирование гнойной полости, а при необходимости — оперативную декортикацию легкого, плеврэктомию, плевропиевмонэктомию и т.п.
Список используемой литературы:
1. Рейтберг Г.Е. «Внутренние болезни» 2005
2. «Рациональная фармакотерапия органов дыхания»2004
3. «Проблемы туберкулёза и болезни лёгких»№11 2003
4. «Хирургия»№2 2000
5. «Хирургия»№3 2002
6. «Проблемы туберкулёза»№6 1999
7. Чучалин А.Г. «Плевра: патофизиологические и клинические аспекты».
Пулъмонология № 1,1999; т. 9.
|